Skip to main page content
U.S. flag

An official website of the United States government

Dot gov

The .gov means it’s official.
Federal government websites often end in .gov or .mil. Before sharing sensitive information, make sure you’re on a federal government site.

Https

The site is secure.
The https:// ensures that you are connecting to the official website and that any information you provide is encrypted and transmitted securely.

Access keys NCBI Homepage MyNCBI Homepage Main Content Main Navigation
Case Reports
. 2024 Sep 20:15:341.
doi: 10.25259/SNI_657_2024. eCollection 2024.

Endovascular embolization combined with anterior cervical corpectomy for treatment of cervical spinal dural arteriovenous fistula

Affiliations
Case Reports

Endovascular embolization combined with anterior cervical corpectomy for treatment of cervical spinal dural arteriovenous fistula

Carlos Castillo-Rangel et al. Surg Neurol Int. .

Abstract

Background: The two main treatments for spinal dural arteriovenous fistula (SDAVF) include microsurgical occlusion or endovascular embolization (i.e., the latter alone has high recurrence rates). Here, we combined both strategies to treat/obliterate a cervical SDAVF more effectively.

Case description: A 34-year-old male presented with a marked decline in mental status attributed to an infratentorial subarachnoid hemorrhage. The left vertebral angiogram revealed a ruptured, low cervical SDAVF. He underwent successful occlusion of the spinal fistula utilizing super selective catheterization and endovascular embolization (i.e., utilizing Onyx-18 for the obliteration of target arteries). Due to significant SDAVF accompanying vessel recruitment/complex angioarchitecture, we additionally performed a C5 anterior corpectomy/fusion to afford direct access and complete surgical SDAVF occlusion. Three and 6 months later, repeated angiograms confirmed no recurrent or residual SDAVF.

Conclusion: We successfully treated a low cervical SDAVF using a combination of endovascular embolization and direct surgical occlusion through an anterior C5 corpectomy with a fusion approach.

Keywords: Anterior cervical approach; Corpectomy; Endovascular embolization; Hybrid strategy; Spinal dural arteriovenous fistula.

PubMed Disclaimer

Conflict of interest statement

There are no conflicts of interest.

Figures

Figure 1:
Figure 1:
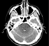
Axial plane of non-contrast cranial computed tomography scan on admission. The study revealed the presence of infratentorial subarachnoid hemorrhage, as well as ventricular irruption, with evidence of bleeding in the fourth ventricle.
Figure 2:
Figure 2:
Lateral view of left vertebral artery angiogram. The study revealed an arteriovenous shunt (black asterisk) inside the cervical canal, fed by the left C6 radicular artery (red arrow) and with retrograde venous drainage through the anterior cervical venous plexus (blue arrow).
Figure 3:
Figure 3:
Anteroposterior view of embolization of the left C6 radicular artery. After successfully occluding the target artery with Onyx-18, we evidenced continuous arterial flow from the right C5 radicular artery (red arrow).
Figure 4:
Figure 4:
Super selective catheterization of the right C5 radicular artery. (a) shows the balloon (black arrow) at the V2 segment of the right vertebral artery and the microcatheter placed in the target artery (red arrow); casts of Onyx-18 are seen (red asterisks). (b) right vertebral artery angiogram confirmed obliteration of the fistula.
Figure 5:
Figure 5:
Direct occlusion of the low cervical, ventral, spinal dural fistula. (a) shows anterior cervical approach, and (b) shows the C5 corpectomy. In postoperative anteroposterior (c) and lateral (d) X-ray views, the interbody spacer and the anterior lordotic plate are seen.

References

    1. Alkhaibary A, Alharbi A, Alnefaie N, Alammar H, Arishy AM, Alghanim N, et al. Spinal dural arteriovenous fistula: A comprehensive review of the history, classification systems, management, and prognosis. Chin Neurosurg J. 2024;10:2. - PMC - PubMed
    1. Cenzato M, Debernardi A, Stefini R, D’Aliberti G, Piparo M, Talamonti G, et al. Spinal dural arteriovenous fistulas: Outcome and prognostic factors. Neurosurg Focus. 2012;32:E11. - PubMed
    1. El Naamani K, Tjoumakaris SI, Gooch MR, Jabbour P. Dural arteriovenous fistula. Neurosurg Clin N Am. 2024;35:331–42. - PubMed
    1. Flores BC, Klinger DR, White JA, Batjer HH. Spinal vascular malformations: Treatment strategies and outcome. Neurosurg Rev. 2017;40:15–28. - PubMed
    1. Koch MJ, Stapleton CJ, Agarwalla PK, Torok C, Shin JH, Coumans J, et al. Open and endovascular treatment of spinal dural arteriovenous fistulas: A 10-year experience. J Neurosurg Spine. 2017;26:519–23. - PubMed

Publication types

LinkOut - more resources