A Rare Case of Recurrent Intra-abdominal Desmoid-Type Fibromatosis
- PMID: 39391411
- PMCID: PMC11465187
- DOI: 10.7759/cureus.69049
A Rare Case of Recurrent Intra-abdominal Desmoid-Type Fibromatosis
Abstract
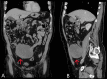
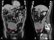
Desmoid-type fibromatosis is an uncommon fibroblastic or myofibroblastic tumour arising in deep soft tissues with no metastatic potential. This case report presents a 78-year-old male patient with an incidental finding of desmoid-type fibromatosis of the abdomen with recurrence within two years and required surgical interventions. Primarily, a computed tomography (CT) of the abdomen and pelvis showed an incidental finding of a large soft tissue mass in the right iliac fossa mesentery measuring 11 by 8.5 cm. The patient underwent a successful elective exploratory laparotomy and resection of the mass along with a small bowel. A final pathology revealed the mass to be a primary desmoid of the small bowel. Despite clear resection margins, the patient developed recurrence after 17 months, which was treated with surgical resection. His post-operative course was uneventful. The patient's clinical presentation, management, and diagnosis are discussed in this case report.
Keywords: desmoid tumours; desmoid-type fibromatosis; fibroblasts; intra-abdominal mass; spindle-shaped cells.
Copyright © 2024, Musa et al.
Conflict of interest statement
Human subjects: Consent was obtained or waived by all participants in this study. Conflicts of interest: In compliance with the ICMJE uniform disclosure form, all authors declare the following: Payment/services info: All authors have declared that no financial support was received from any organization for the submitted work. Financial relationships: All authors have declared that they have no financial relationships at present or within the previous three years with any organizations that might have an interest in the submitted work. Other relationships: All authors have declared that there are no other relationships or activities that could appear to have influenced the submitted work.
Figures



References
-
- A to Z of desmoid tumors. Shinagare AB, Ramaiya NH, Jagannathan JP, Krajewski KM, Giardino AA, Butrynski JE, Raut CP. AJR Am J Roentgenol. 2011;197:0–14. - PubMed
-
- Desmoid tumor: analysis of prognostic factors and outcomes in a surgical series. Mullen JT, Delaney TF, Kobayashi WK, et al. Ann Surg Oncol. 2012;19:4028–4035. - PubMed
-
- Intra-abdominal fibromatosis: differentiation from gastrointestinal stromal tumour based on biphasic contrast-enhanced CT findings. Zhu H, Chen H, Zhang S, Peng W. Clin Radiol. 2013;68:1133–1139. - PubMed
Publication types
LinkOut - more resources
Full Text Sources