MTAP and p16 IHC as Markers for CDKN2A/B Loss in Meningiomas
- PMID: 39409918
- PMCID: PMC11476088
- DOI: 10.3390/cancers16193299
MTAP and p16 IHC as Markers for CDKN2A/B Loss in Meningiomas
Abstract
Background: Homozygous cyclin-dependent kinase inhibitor 2A/B (CDKN2A/B) loss is one of the parameters that support the designation of meningiomas as Central Nervous System (CNS) WHO grade 3 tumors. Evaluation of CDKN2A/B by sequencing or Fluorescence in situ hybridization (FISH) is costly and not always readily accessible. An immunohistochemistry (IHC)-based marker for the evaluation of CDKN2A/B loss would provide faster results at a lower cost.
Methods: This retrospective study included patients diagnosed with meningioma at our institution between 2016 and 2019. Archival tumor tissue was used for analysis. MTAP immunohistochemistry (IHC) was performed at various dilutions (1:1200, 1:400, 1:200, 1:100) using two different antibodies, and p16 IHC was conducted simultaneously. These analyses were carried out at two different institutions. To determine the sensitivity and specificity of MTAP and p16 as surrogate markers for CDKN2A/B loss, CDKN2A FISH was utilized as the gold standard.
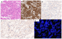
Results: Overall, 46/49 tumors showed strong MTAP staining (94%) at institution 1, and 44/49 (90%) showed either faint positive or positive results at institution 2. One grade 3 meningioma that demonstrated homozygous CDKN2A loss by FISH also showed loss of MTAP expression by IHC. One grade 2 meningioma showed regional CDKN2A loss by FISH and variable MTAP expression under different IHC conditions. MTAP expression evaluation was superior at a dilution of 1:100 with the Abnova Anti-MTAP Monoclonal antibody.
Conclusions: P16 expression was variable and did not correlate with either MTAP expression or CDKN2A FISH results. MTAP IHC is a promising surrogate marker for the evaluation of CDKN2A status in meningiomas.
Keywords: CDKN2A; CDKN2B; FISH; IHC; MTAP; meningioma; p16.
Conflict of interest statement
The authors declare no relevant financial or non-financial interests.
Figures







References
-
- Louis D.N., Perry A., Wesseling P., Brat D.J., Cree I.A., Figarella-Branger D., Hawkins C., Ng H.K., Pfister S.M., Reifenberger G., et al. The 2021 WHO classification of tumors of the central nervous system: A summary. Neuro-oncology. 2021;23:1231–1251. doi: 10.1093/neuonc/noab106. - DOI - PMC - PubMed
-
- Carter M.D., Durham A.B., Miedema J.R., Harms P.W., Chan M.P., Patel R.M., Lowe L., Fullen D.R., Hristov A.C., Wang M., et al. Molecular testing of borderline cutaneous melanocytic lesions: SNP array is more sensitive and specific than FISH. Hum. Pathol. 2019;86:115–123. doi: 10.1016/j.humpath.2018.12.002. - DOI - PubMed
Grants and funding
LinkOut - more resources
Full Text Sources
Miscellaneous