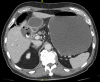
Gastric outlet obstruction in a patient
- PMID: 39435327
- PMCID: PMC11491546
- DOI: 10.1002/emp2.13285
Gastric outlet obstruction in a patient
Conflict of interest statement
The authors declare no conflicts of interest.
Figures



References
-
- Wickbom G. Mannen bakom syndromet: léon Bouveret. Internmedicinaren som stödde kirurgin [The man behind the syndrome: Leon Bouveret. The internist who supported surgery]. Lakartidningen. 1993;90(3):162‐165. - PubMed
LinkOut - more resources
Full Text Sources