Skip to main page content
U.S. flag

An official website of the United States government

Dot gov

The .gov means it’s official.
Federal government websites often end in .gov or .mil. Before sharing sensitive information, make sure you’re on a federal government site.

Https

The site is secure.
The https:// ensures that you are connecting to the official website and that any information you provide is encrypted and transmitted securely.

Access keys NCBI Homepage MyNCBI Homepage Main Content Main Navigation
. 2024 Oct 9;31(4):559-582.
doi: 10.3390/pathophysiology31040041.

Multiple Benefits of Empagliflozin in PCOS: Evidence from a Preclinical Rat Model

Affiliations

Multiple Benefits of Empagliflozin in PCOS: Evidence from a Preclinical Rat Model

Dejana Rakic et al. Pathophysiology. .

Abstract

Polycystic ovary syndrome (PCOS) is the most common complex endocrinological condition of women that is associated with infertility and metabolic disorders during the reproductive period. Recently, a great deal of research has focused on the etiopathogenesis of this disorder and the modulation of therapeutic approaches. There are still many controversies in the choice of therapy, and metformin is one of the most commonly used agents in the treatment of PCOS. Considering the link between metabolic disorders and PCOS, glycemic status is crucial in these patients, and sodium-glucose cotransporter type 2 inhibitors (SGLT2is) represent a potentially promising new therapeutic approach. These drugs have been shown to improve glucose metabolism, reduce adipose tissue, decrease oxidative stress, and protect the cardiovascular system. These data prompted us to investigate the effects of empagliflozin (EMPA) in a PCOS rat model and compare them with the effects of metformin. We confirmed that EMPA positively affects somatometric parameters, glucose and lipid metabolism, and the levels of sex hormones, as well as reduces oxidative stress and improves ovarian function and morphology. Administration of EMPA at doses of 5 mg/kg, 15 mg/kg, and 45 mg/kg during a 4-week treatment period improved, as induced by estradiol valerate and a high-fat diet, the metabolic and reproductive statuses in a PCOS rat model. The best effects, which were comparable to the effects of metformin, were achieved in groups receiving the middle and highest applied doses of EMPA. These results may prompt further clinical research on the use of EMPA in patients with PCOS.

Keywords: empagliflozin; metabolic syndrome; metformin; polycystic ovary syndrome; rats; reproduction; sodium-glucose cotransporter type 2 inhibitors.

PubMed Disclaimer

Conflict of interest statement

The authors declare no conflicts of interest.

Figures

Figure 1
Figure 1
Bodyweight changes during the duration of the experiment.
Figure 2
Figure 2
Body weight changes before (A) and after (B) EMPA and MET treatments. * statistical significance at level p < 0.05 compared to the P group; ** statistical significance at level p < 0.01 compared to the P group.
Figure 3
Figure 3
Changes in the estrus cycle in five rats induced with PCOS and after the applied treatments. Y-axis legend: D—diestrus, M—metaestrus, E—estrus, and P—proestrus.
Figure 3
Figure 3
Changes in the estrus cycle in five rats induced with PCOS and after the applied treatments. Y-axis legend: D—diestrus, M—metaestrus, E—estrus, and P—proestrus.
Figure 4
Figure 4
The proportions of different estrus cycle stages in the three groups were analyzed using the Chi-square test, and the differences were evaluated by z-test. * statistically significant difference compared to the P group (p < 0.05), # statistically significant difference compared to the P+E1 group (p < 0.05), and $ statistically significant difference compared to the P+E2 group (p < 0.05).
Figure 5
Figure 5
The blood pressure parameters in different groups. (A) systolic arterial pressure; (B) diastolic arterial pressure; (C) heart frequency; (D) pulse pressure; and (E) mean arterial pressure. Bars represent the means ± SEM. ** statistical significance at level p < 0.01 compared to the P group; # statistical significance at level p < 0.05 compared to the P+E1 group; and $ statistical significance at level p < 0.05 compared to the P+E2 group.
Figure 6
Figure 6
Markers of oxidative stress in different groups. (A) levels of O2; (B) levels of H2O2; (C) levels of NO2; (D) levels of TBARS. Bars represents the means ± SEM. ** statistical significance at level p < 0.01 compared to the P group; ## statistical significance at level p < 0.01 compared to the P+E1 group; and $$ statistical significance at level p < 0.01 compared to the P+E2 group.
Figure 7
Figure 7
The levels of anti-oxidative enzymes in different groups. (A) levels of GSH; (B) levels of CAT; and (C) levels of SOD. Bars represent the means ± SEM. * statistical significance at level p < 0.05 compared to the P group; ** statistical significance at level p < 0.01 compared to the P group; # statistical significance at level p < 0.05 compared to the P+E1 group; ## statistical significance at level p < 0.01 compared to the P+E1 group; and $ statistical significance at level p < 0.05 compared to the P+E2 group.
Figure 8
Figure 8
The levels of sex hormones in different groups. (A) estradiol levels; (B) progesterone levels; (C) Testosterone levels; (D) FSH levels; and (E) LH levels.Bars represent the means ± SEM. * statistical significance at level p < 0.05 compared to the P group; ** statistical significance at level p < 0.01 compared to the P group; # statistical significance at level p < 0.05 compared to the P+E1 group; and ## statistical significance at level p < 0.01 compared to the P+E1 group.
Figure 9
Figure 9
(A) the corpus luteum count; (B) the cystic follicles count. Bars represent the means ± SEM. ** statistical significance at level p < 0.01 compared to the P group; ## statistical significance at level p < 0.01 compared to the P+E1 group.
Figure 10
Figure 10
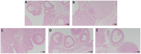
Representative views of the ovaries of the examined groups. (A) the P group; (B) the P+E1 group; (C) the P+E2 group; (D) the P+E3 group; and (E) the P+M group.
Figure 11
Figure 11
The surfaces and diameters of the subcutaneous fat tissue. Bars represent the mean values ± SEM. * statistically significant difference compared to the P group p < 0.05; ** statistically significant difference compared to the P group p < 0.01; and # statistically significant difference when comparing the P+E2 and P+E3 groups with the P+E1 group p < 0.05.
Figure 12
Figure 12
The surface area and diameter of the adipocytes of periovarian fat tissue. Bars represent the mean values ± SEM. ** statistically significant difference compared to the P group p < 0.01; and ## statistically significant difference when comparing the P+E3 and P+M groups with the P+E1 group p < 0.01.
Scheme 1
Scheme 1
Summary scheme of the effects of EMPA in a PCOS rat model. PCOS—polycystic ovary syndrome; EMPA—empagliflozin; and MET—metformin.

References

    1. Siddiqui S., Mateen S., Ahmad R., Moin S. A brief insight into the etiology, genetics, and immunology of polycystic ovarian syndrome (PCOS) J. Assist. Reprod. Genet. 2022;39:2439–2473. doi: 10.1007/s10815-022-02625-7. - DOI - PMC - PubMed
    1. Azziz R., Carmina E., Dewailly D., Diamanti-Kandarakis E., Escobar-Morreale H.F., Futterweit W., Janssen O.E., Legro R.S., Norman R.J., Taylor A.E., et al. Task Force on the Phenotype of the Polycystic Ovary Syndrome of The Androgen Excess and PCOS Society. The Androgen Excess and PCOS Society criteria for the polycystic ovary syndrome: The complete task force report. Fertil. Steril. 2009;91:456–488. doi: 10.1016/j.fertnstert.2008.06.035. - DOI - PubMed
    1. Milankov A., Milanović M., Milošević N., Sudji J., Pejaković S., Milić N., Bjelica A., Medić Stojanoska M. The effects of phthalate exposure on metabolic parameters in polycystic ovary syndrome. Clin. Chim. Acta. 2023;540:117225. doi: 10.1016/j.cca.2023.117225. - DOI - PubMed
    1. Lentscher J.A., Decherney A.H. Clinical Presentation and Diagnosis of Polycystic Ovarian Syndrome. Clin. Obstet. Gynecol. 2021;64:3–11. doi: 10.1097/GRF.0000000000000563. - DOI - PMC - PubMed
    1. Azziz R. Controversy in clinical endocrinology: Diagnosis of polycystic ovarian syndrome: The Rotterdam criteria are premature. J. Clin. Endocrinol. Metab. 2006;91:781–785. doi: 10.1210/jc.2005-2153. - DOI - PubMed

LinkOut - more resources