Skip to main page content
U.S. flag

An official website of the United States government

Dot gov

The .gov means it’s official.
Federal government websites often end in .gov or .mil. Before sharing sensitive information, make sure you’re on a federal government site.

Https

The site is secure.
The https:// ensures that you are connecting to the official website and that any information you provide is encrypted and transmitted securely.

Access keys NCBI Homepage MyNCBI Homepage Main Content Main Navigation
Review
. 2024 Oct 25;54(5):291-300.
doi: 10.4274/tjo.galenos.2024.43895.

Caffeine and Vision: Effects on the Eye

Affiliations
Review

Caffeine and Vision: Effects on the Eye

Audrey Yan et al. Turk J Ophthalmol. .

Abstract

Caffeine, commonly found in coffee and tea, affects various aspects of eye health as it blocks adenosine receptors, impacting tear production, intraocular pressure, macular perfusion, and choroidal thickness. However, its connection with eye conditions like glaucoma and cataracts remains uncertain due to conflicting research findings. Some studies suggest potential benefits for cataracts, while others warn against frequent caffeine intake in glaucoma and surgical scenarios due to possible increases in intraocular pressure. Conflicting evidence also exists regarding its effects on dry eye, macular degeneration, myopia/hyperopia, diabetic retinopathy, retinopathy of prematurity, and central serous retinopathy. Caffeine does not seem to be a risk factor for dry eye, although studies have shown that caffeine may offer protection against wet age-related macular degeneration, and the metabolite 7-methylxanthine could be a more promising treatment for myopia. Moreover, caffeine can potentially cause tremors and might hinder surgical performance, especially in less experienced surgeons. Recommendations from experts vary, highlighting the need for further research to fully understand how caffeine affects the eye. Individuals genetically predisposed to glaucoma should be cautious due to the possibility of clinically significant elevations in intraocular pressure with caffeine consumption. For delicate procedures like microsurgery, where tremors can be detrimental, caution should be exercised with caffeine. This review underscores the importance of additional studies to provide clearer insights and prudent recommendations regarding caffeine's impact on eye health.

Kahve ve çayda yaygın olarak bulunan kafein, adenozin reseptörlerini bloke ederek, gözyaşı üretimi, göz içi basıncı, maküla perfüzyonu ve koroid kalınlığını etkileyerek çeşitli yönleriyle göz sağlığı üzerinde etkilere sahiptir. Bununla birlikte, glokom ve katarakt gibi göz hastalıkları ile bağlantısı, araştırma sonuçlarının çelişkili olması nedeniyle belirsizliğini korumaktadır. Bazı çalışmalar kataraktta faydaları olabileceğini ileri sürerken, diğerleri glokomda sık kafein alımının göz içi basıncında artışa neden olarak cerrahi ihtiyacı doğuracağı konusunda uyarmaktadır. Kuru göz, maküla dejenerasyonu, miyopi/hipermetropi, diyabetik retinopati, prematüre retinopatisi ve santral seröz retinopati üzerindeki etkileri ile ilgili çelişkili kanıtlar da mevcuttur. Kafein, kuru göz için bir risk faktörü gibi görünmemekle beraber, çalışmalar kafeinin yaş tip yaşa bağlı maküler dejenerasyona karşı koruma sağlayabileceğini ve 7-metilksantin metabolitinin miyopi için umut verici bir tedavi olabileceğini göstermiştir. Ayrıca, kafein titremeye neden olabilir ve özellikle daha az deneyimli cerrahlarda cerrahi performansı etkileyebilir. Uzmanların önerileri farklılık göstermekle birlikte kafeinin gözü nasıl etkilediğini tam olarak anlamak için daha fazla araştırmaya ihtiyaç vardır. Genetik olarak glokoma yatkın bireyler, kafein tüketiminin göz içi basıncında klinik olarak anlamlı yükselmeye neden olma olasılığı nedeniyle dikkatli olmalıdır. Titremenin önemli olabileceği mikrocerrahi gibi hassas işlemlerde kafein kullanımı hakkında dikkatli olunmalıdır. Bu derleme, kafeinin göz sağlığı üzerindeki etkisine ilişkin daha net bir görüşe sahip olmak ve önerilerde bulunmak için yapılacak daha ileri çalışmaların önemini vurgulamaktadır.

Keywords: Caffeine; caffeine and eye diseases, cataract; choroidal thickness; coffee consumption; dry eye; glaucoma; macular degeneration; ocular health; surgical performance.

PubMed Disclaimer

Conflict of interest statement

Conflict of Interest: No conflict of interest was declared by the authors.

Figures

Figure 1
Figure 1
Pharmacokinetics of caffeine. Caffeine consumed orally is rapidly absorbed into the general circulation, metabolized by liver CYP1A2 enzyme, and reabsorbed by renal tubules with only 1-5% excreted unchanged in the urine within 48 hours. Caffeine can enter several organs including the brain, leading to increased adenosine receptor blockage (from Gonzalez de Mejia and Ramirez-Mares; reprinted with permission from Elsevier)
Figure 2
Figure 2
Adenosine receptor signaling pathway. A1 and A3 are couples though Gi/Go protein, inhibiting adenylyl cyclase and decreasing cAMP levels. A2a and A2b are coupled through Gs/Golf protein, stimulating adenylyl cyclase and increasing cAMP levels. (from Mazziotta et al.; reuse permitted under the Creative Commons Attribution 4.0 International License [CC BY 4.0]) cAMP: Cyclic adenosine monophosphate, ATP: Adenosine triphosphate
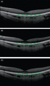
Figure 3
Figure 3
Choroidal thickness measurements obtained before (A), 1 hour after (B), and 3 hours after (C) oral caffeine consumption (200 mg capsule) (from Zengin et al.; reprinted with permission from Taylor & Francis Informa UK Ltd-Journals)

References

    1. Heckman MA, Weil J, Gonzalez de Mejia E. Caffeine (1, 3, 7-trimethylxanthine) in foods: a comprehensive review on consumption, functionality, safety, and regulatory matters. J Food Sci. 2010;75:R77–R87. - PubMed
    1. Gonzalez de Mejia E, Ramirez-Mares MV. Impact of caffeine and coffee on our health. Trends Endocrinol Metab. 2014;25(10):489–492. doi: 10.1016/j.tem.2014.07.003. - DOI - PubMed
    1. Daly JW, Shi D, Nikodijevic O, Jacobson KA. The role of adenosine receptors in the central action of caffeine. Pharmacopsychoecologia. 1994;7:201–213. - PMC - PubMed
    1. Mazziotta C, Rotondo JC, Lanzillotti C, Campione G, Martini F, Tognon M. Cancer biology and molecular genetics of A adenosine receptor. Oncogene. 2022;41:301–308. - PMC - PubMed
    1. Borea PA, Gessi S, Merighi S, Vincenzi F, Varani K. Pharmacology of adenosine receptors: the state of the art. Physiol Rev. 2018;98:1591–1625. - PubMed

MeSH terms

LinkOut - more resources