Pulmonary Blastomycosis in Two Immunocompetent Patients: The Role of Obesity and Vitamin D Deficiency
- PMID: 39469362
- PMCID: PMC11513615
- DOI: 10.7759/cureus.70366
Pulmonary Blastomycosis in Two Immunocompetent Patients: The Role of Obesity and Vitamin D Deficiency
Abstract
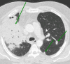
This case report depicts two patients with morbid obesity who presented to the ED with signs and symptoms of community-acquired pneumonia and were treated accordingly. Despite empiric antibiotic therapy, their symptoms did not subside, prompting further evaluation, which revealed pulmonary blastomycosis. Both patients were also found to have severe vitamin D deficiency. Treatment with amphotericin B followed by itraconazole, along with aggressive vitamin D supplementation, led to clinical improvement and resolution of lung lesions in both cases. Although blastomycosis is not rare in immunocompetent individuals, its severe forms are usually associated with underlying immunosuppression or significantly high inoculum. Blastomycosis presents a diagnostic challenge due to its nonspecific symptoms and radiographic findings. This case series underscores the importance of considering blastomycosis in the differential diagnosis of persistent pneumonia in obese individuals, particularly in endemic areas. It also suggests that vitamin D deficiency may play a role in disease susceptibility and severity. This report contributes to existing medical literature by emphasizing the potential link between obesity, vitamin D deficiency, and the risk of blastomycosis, highlighting the need for further research into this association.
Keywords: blastomycosis; community-acquired pneumonia; immune dysfunction; obesity; vitamin d deficiency.
Copyright © 2024, Gligorevic et al.
Conflict of interest statement
Human subjects: Consent was obtained or waived by all participants in this study. Conflicts of interest: In compliance with the ICMJE uniform disclosure form, all authors declare the following: Payment/services info: All authors have declared that no financial support was received from any organization for the submitted work. Financial relationships: All authors have declared that they have no financial relationships at present or within the previous three years with any organizations that might have an interest in the submitted work. Other relationships: All authors have declared that there are no other relationships or activities that could appear to have influenced the submitted work.
Figures


References
Publication types
LinkOut - more resources
Full Text Sources