Osteolipoma of the hand: A case report
- PMID: 39471677
- PMCID: PMC11550152
- DOI: 10.1016/j.ijscr.2024.110534
Osteolipoma of the hand: A case report
Abstract
Introduction: Osteolipoma is a rare variant of lipoma characterized by osseous metaplasia within adipose tissue. Its occurrence in the hand is exceptionally uncommon. This article aimed to report a case of osteolipoma in the hand.
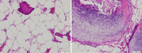
Case presentation: A 46-year-old right-handed Asian woman presented to the orthopedic polyclinic complaining of a painless mass on the palm of her left hand for four years. Physical examination revealed a solid, mobile, non-tender mass with well-defined margins. Radiographic imaging showed a well-circumscribed soft tissue mass with fat and central calcification. The patient underwent surgical excision, and a histopathological examination confirmed the osteolipoma. A six-month follow-up revealed no recurrence, and the patient could resume her daily activities.
Discussion: This case highlights the importance of including osteolipoma in the differential diagnosis of hand masses, especially those with radiographic evidence of calcification. The rarity of this entity in the hand requires a high index of suspicion for accurate preoperative diagnosis.
Conclusion: While rare, osteolipoma of the hand should be considered in the differential diagnosis of soft tissue masses with osseous components. Complete surgical excision remains the treatment of choice, offering diagnostic confirmation and therapeutic intervention.
Keywords: Benign tumor; Case report; Hand tumor; Osteolipoma; Surgical excision.
Copyright © 2024 The Author(s). Published by Elsevier Ltd.. All rights reserved.
Conflict of interest statement
Declaration of competing interest The authors declare that there is no conflict of interest regarding the publication of this paper.
Figures







References
Publication types
LinkOut - more resources
Full Text Sources