A case of mistaken identity: Gallstone-induced hepatic abscess mimicking metastasis
- PMID: 39498707
- PMCID: PMC11843384
- DOI: 10.14744/tjtes.2024.28369
A case of mistaken identity: Gallstone-induced hepatic abscess mimicking metastasis
Abstract
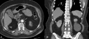
We present a challenging case at our facility involving a 70-year-old female with a history of hypertension who was diagnosed with malignant ovarian neoplasia. Preoperative imaging revealed a 6 x 6 x 2.5 cm mass in liver segment 6, initially suspected to be metastatic disease. The patient had undergone a laparoscopic cholecystectomy 11 years prior. Despite repeated biopsies and a high fluorodeoxy-glucose (FDG) uptake value of 9.87 on positron emission tomography-computed tomography (PET-CT), the exact nature of the mass remained undetermined. However, during a total abdominal hysterectomy and bilateral salpingo-oophorectomy, an excisional biopsy of the liver lesion identified it as an abscess formed around a gallstone, presumably spilled during the previous cholecystectomy. This case highlights a rare but significant diagnostic challenge, wherein a gallstone shed during gallbladder surgery mimicked a metastatic liver mass. It underscores the importance of considering a patient's surgical history in differential diagnoses, especially when encountering atypical abdominal masses.
Conflict of interest statement
Figures




References
-
- Gallstone Disease:Diagnosis and Management of Cholelithiasis, Cholecystitis and Choledocholithiasis. London: National Institute for Health and Care Excellence (NICE);October 2014; - PubMed
-
- D'Urso A, Mutter D. Retained gallstone mimicking an abdominal wall metastasis in a patient with lung cancer 7 years after laparoscopic cholecystectomy. J Visc Surg. 2022;159:257–9. - PubMed
Publication types
MeSH terms
LinkOut - more resources
Full Text Sources
Medical