Imaging of Peritoneal Surface Malignancies
- PMID: 39508563
- PMCID: PMC11826024
- DOI: 10.1002/jso.27979
Imaging of Peritoneal Surface Malignancies
Abstract
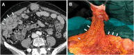
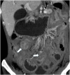
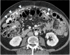
Management of peritoneal surface malignancies is currently entrusted to a multimodality approach. Computed tomography (CT) scan remains the first imaging method despite the limitations in identifying small implants in critical regions. Magnetic resonance imaging is usually recommended for its performance in small implants, mesentery, and small bowel assessment. Positron emission tomography/CT plays an important role only in pseudomyxoma peritonei. Thus, becoming aware of the imaging strengths and drawbacks and having a multimodality imaging approach might be the best option for the patients.
Keywords: neoplasm metastasis; neoplasms; peritoneum; radiology.
© 2024 The Author(s). Journal of Surgical Oncology published by Wiley Periodicals LLC.
Figures
References
-
- Flanagan M., Solon J., Chang K. H., et al., “Peritoneal Metastases from Extra‐Abdominal Cancer ‐ A Population‐Based Study,” European Journal of Surgical Oncology 44 (2018): 1811–1817. - PubMed
-
- Mogal H. and Shen P., “Top Peritoneal Surface Malignancy Articles from 2022 to Inform Your Cancer Practice,” Annals of Surgical Oncology 31 (2024): 5361–5369. - PubMed
-
- Cortés‐Guiral D., Hübner M., Alyami M., et al., “Primary and Metastatic Peritoneal Surface Malignancies,” Nature Reviews Disease Primers 7 (2021): 91. - PubMed
-
- Grange R., Si‐Mohamed S., Kepenekian V., Boccalini S., Glehen O., and Rousset P., “Spectral Photon‐Counting CT: Hype or Hope for Colorectal Peritoneal Metastases Imaging?” Diagnostic and Interventional Imaging 105 (2024): 118–120. - PubMed
Publication types
MeSH terms
LinkOut - more resources
Full Text Sources
Medical
