Phenotypic and epigenetic heterogeneity in FGFR2-fused glial and glioneuronal tumours
- PMID: 39511841
- PMCID: PMC11618513
- DOI: 10.1111/nan.13014
Phenotypic and epigenetic heterogeneity in FGFR2-fused glial and glioneuronal tumours
Abstract
Aims: FGFR-fused central nervous system (CNS) tumours are rare and are usually within the glioneuronal and neuronal tumours or the paediatric-type diffuse low-grade glioma spectrum. Among this spectrum, FGFR2 fusion has been documented in tumours classified by DNA-methylation profiling as polymorphous low-grade neuroepithelial tumours of the young (PLNTY), a recently described tumour type. However, FGFR2 fusions have also been reported in glioneuronal tumours, highlighting the overlapping diagnostic criteria and challenges.
Methods: We investigated the FGFR2 fusion landscape in a French national series of tumours sent to the RENOCLIP-LOC network. We comprehensively analysed histology, radiology and molecular data including DNA-methylation profiling for 16 FGFR2-fused glioneuronal tumours.
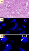
Results: Most tumours were located in the temporal or parietal lobe with a median age at diagnosis of 7 years [1-44]. Epilepsy was the most frequent symptom. Five patients had tumour progression or recurrence with a median progression-free survival of 22.6 months. Histological phenotypes corresponding to PLNTY, GG, MVNT or unclassified tumours were recorded. Epigenetic profiling could not properly distinguish epigenetic clusters related to the GG and PLNTY methylation classes among FGFR2-fused glioneuronal tumours. However, a neuroradiological review identified strikingly distinct neuroradiological patterns.
Conclusion: While delineating tumour types among the FGFR2-fused glioneuronal tumour spectrum, by histopathology or DNA-methylation profiling, remains challenging, neuroimaging data revealed two distinct patterns that could correlate to PLNTY and ganglioglioma. However, more series including extensive histo-radio-molecular data are needed to confirm this hypothesis.
Keywords: FGFR2 fusion; ganglioglioma; glioneuronal tumours; molecular pathology; polymorphous low‐grade neuroepithelial tumour of the young.
© 2024 The Author(s). Neuropathology and Applied Neurobiology published by John Wiley & Sons Ltd on behalf of British Neuropathological Society.
Conflict of interest statement
The authors declare that they have no competing interests.
Figures
References
Publication types
MeSH terms
Substances
Grants and funding
LinkOut - more resources
Full Text Sources
Medical
Miscellaneous
