Skip to main page content
U.S. flag

An official website of the United States government

Dot gov

The .gov means it’s official.
Federal government websites often end in .gov or .mil. Before sharing sensitive information, make sure you’re on a federal government site.

Https

The site is secure.
The https:// ensures that you are connecting to the official website and that any information you provide is encrypted and transmitted securely.

Access keys NCBI Homepage MyNCBI Homepage Main Content Main Navigation
. 2024 Sep 26;11(11):004837.
doi: 10.12890/2024_004837. eCollection 2024.

Life-Threatening Methaemoglobinaemia Secondary to Cetrimide

Affiliations

Life-Threatening Methaemoglobinaemia Secondary to Cetrimide

Radwan Zeidan et al. Eur J Case Rep Intern Med. .

Abstract

Methaemoglobinaemia is a rare but potentially life-threatening condition in which there is diminution of the oxygen-carrying capacity of the circulating haemoglobin. It can result from either congenital or acquired processes. Acquired methaemoglobinaemia is more prevalent than congenital methaemoglobinaemia, and notably it has a higher prevalence in infants and neonates than in adults; it results from exposure to oxidising agents. Methaemoglobin forms when haemoglobin is oxidised to contain iron in the ferric (Fe3+) state rather than the normal ferrous (Fe2+) state. Methaemoglobinaemia is a clinical diagnosis and is suspected in the presence of hypoxaemia refractory to supplemental oxygen and in the presence of chocolate-coloured blood. Symptoms are usually dependent on the methaemoglobin levels; at levels higher than 35%, systemic symptoms from tissue hypoxia may be fatal. We present a case of severe life-threatening methaemoglobinaemia following intra-abdominal use of cetrimide during hydatid cyst removal in a 60-year-old female.

Learning points: Cetrimide can cause methaemoglobinaemia when used as a protoscolicidal agent during the surgical treatment of hydatid cysts.Severe methaemoglobinaemia has high mortality rate and is usually missed and not easily diagnosed.

Keywords: Cetrimide; confusion; hypoxia; methaemoglobulinaemia; oxygen therapy.

PubMed Disclaimer

Conflict of interest statement

Conflicts of Interests: The Authors declare that there are no competing interests.

Figures

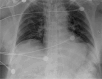
Figure 1
Figure 1
Chest X-ray showing clear lung fields with no pertinent abnormalities.
Figure 2
Figure 2
CT angiography showing A) bilateral pleural effusions with no evidence of pulmonary embolism; B) no signs of pulmonary embolism; C) no evidence of pericardial effusion.
Figure 3
Figure 3
CT angiography showing mild oedema surrounding the thyroid gland.
Figure 4
Figure 4
CT angiography showing diffuse abdominal oedema with no signs of bleeding.

References

    1. Ash-Bernal R, Wise R, Wright SM. Acquired methemoglobinemia: a retrospective series of 138 cases at 2 teaching hospitals. Medicine (Baltimore) 2004;83:265–273. - PubMed
    1. Tintinalli JE, Stapczynski JS, Ma OJ, Yealy DM, Meckle GD, Cline DM. Tintinalli’s emergency medicine: a comprehensive study guide. 8th ed. New York: McGraw-Hill Education; 2015.
    1. Baraka A, Yamut F, Wakid N. Cetrimide-induced methaemoglobinaemia after surgical excision of hydatid cyst. Lancet. 1980;2:88–89. - PubMed
    1. Frayha GJ, Bikhazi KJ, Kachachi TA. Treatment of hydatid cysts (Echinococcus granulosus) by Cetrimide®. Trans R Soc Trop Med Hyg. 1981;75:447–450. - PubMed
    1. Svecová D, Böhmer D. Vrodená a získaná methemoglobinémia a ich liecba. [Congenital and acquired methemoglobinemia and its therapy]. Cas Lek Cesk. 1998;137:168–170. - PubMed

LinkOut - more resources