Sclerosing mucoepidermoid carcinoma of salivary glands
- PMID: 39537991
- PMCID: PMC12289853
- DOI: 10.1007/s00428-024-03970-x
Sclerosing mucoepidermoid carcinoma of salivary glands
Abstract
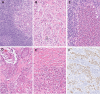
Sclerosing mucoepidermoid carcinoma (SMEC) of the salivary glands is a rare variant of low-grade mucoepidermoid carcinoma with scanty cellular atypia characterized by marked fibrosis/sclerosis and a rich inflammatory infiltrate. Herein, we report 25 unpublished cases of SMEC, two of them with prominent eosinophilia (2/25; 8%) and three with abundant IgG4-positive plasma cells (3/25; 12%). In our series of salivary SMEC, molecular analysis using fluorescence in situ hybridization (FISH) and/or next-generation sequencing (NGS) provided evidence of MAML2 gene rearrangement in 18 cases of the 21 analyzable cases tested (86%), while this gene locus was intact in 3 cases (14%). This study focuses on the diagnostic criteria of salivary SMEC given its challenge of abundant collagenous stroma, minimal residual neoplastic areas, and inconspicuous mucous cells. Follow-up data of our cases indicate that salivary SMECs have favorable outcomes. Molecular analysis for MAML2 gene rearrangement suggests that SMECs of salivary glands represent a rare variant of conventional low-grade MECs of salivary glands. In contrast, SMECs of the thyroid gland are genetically distinct from salivary-type thyroid MECs.
Keywords: MAML2 rearrangement; IgG4; Keloid-like stromal fibrosis; SMEC; Salivary gland; Sclerosing mucoepidermoid carcinoma; Sclerosis; Tissue eosinophilia.
© 2024. The Author(s).
Conflict of interest statement
Declarations. Ethics approval: The study was approved by the institutional review board of the Faculty of Medicine in Pilsen, Charles University. The procedures used in this study adhere to the tenets of the Declaration of Helsinki. Informed consent: No patient consent was required for this study. Conflict of interest: The authors have no relevant financial or non-financial interests to disclose. AA is the Editor-in-Chief of Virchows Archiv. AS serves on the Editorial Board of Virchows Archiv.
Figures
References
-
- WHO Classification of Tumours editorial board. Head and neck tumours. 5th ed. Lyon (France): International Agency for Research on Cancer; 2022. (WHO Classification of Tumours series, ; vol. 9).; 2022. Available at: https://publications.iarc.fr/
-
- Skálová A, Agaimy A, Stanowska O, Baneckova M, Ptáková N, Ardighieri L et al (2020) Molecular profiling of salivary oncocytic mucoepidermoid carcinomas helps to resolve differential diagnostic dilemma with low-grade oncocytic lesions. Am J Surg Pathol 44(12):1612–1622 - PubMed
-
- Weinreb I, Seethala RR, Perez-Ordoñez B et al (2009) Oncocytic mucoepidermoid carcinoma: clinicopathologic description in a series of 12 cases. Am J Surg Pathol 33:409–416 - PubMed
-
- Ishibashi K, Ito Y, Masaki A, Fujii K, Beppu S, Sakakibara T et al (2015) Warthin-like mucoepidermoid carcinoma: a combined study of fluorescence in situ hybridization and whole-slide imaging. Am J Surg Pathol 39(11):1479–1487 - PubMed
MeSH terms
Substances
LinkOut - more resources
Full Text Sources
Medical
