Skip to main page content
U.S. flag

An official website of the United States government

Dot gov

The .gov means it’s official.
Federal government websites often end in .gov or .mil. Before sharing sensitive information, make sure you’re on a federal government site.

Https

The site is secure.
The https:// ensures that you are connecting to the official website and that any information you provide is encrypted and transmitted securely.

Access keys NCBI Homepage MyNCBI Homepage Main Content Main Navigation
Case Reports
. 2024 Oct 13;16(10):e71355.
doi: 10.7759/cureus.71355. eCollection 2024 Oct.

Double Iatrogenic Esophageal and Duodenal Injury Induced by Endoscopic Retrograde Cholangiopancreatography: A Case Report

Affiliations
Case Reports

Double Iatrogenic Esophageal and Duodenal Injury Induced by Endoscopic Retrograde Cholangiopancreatography: A Case Report

Shoag J Albugami et al. Cureus. .

Abstract

Endoscopic retrograde cholangiopancreatography (ERCP) is a frequently performed procedure in the management of hepatobiliary diseases that can be conducted as a therapeutic or diagnostic procedure. Also, it can be done with or without sphincterotomy and stent insertion. Hemorrhage is one of the most common post-ERCP complications, which can be presented as late as 10 days. Other complications include post-ERCP pancreatitis and perforation. Gut perforation during ERCP is rare but often lethal. Here we present a 35-year-old female who was admitted to the hospital through the ER as a case of obstructive jaundice with common bile duct (CBD) stone. ERCP with stent insertion was performed for the patient to relieve the obstruction; however, intra-procedural retroperitoneal perforation was encountered.

Keywords: duodenal injury; endoscopic retrograde cholangiopancreatography; endoscopy; esophageal injury; iatrogenic.

PubMed Disclaimer

Conflict of interest statement

Human subjects: Consent was obtained or waived by all participants in this study. Conflicts of interest: In compliance with the ICMJE uniform disclosure form, all authors declare the following: Payment/services info: All authors have declared that no financial support was received from any organization for the submitted work. Financial relationships: All authors have declared that they have no financial relationships at present or within the previous three years with any organizations that might have an interest in the submitted work. Other relationships: All authors have declared that there are no other relationships or activities that could appear to have influenced the submitted work.

Figures

Figure 1
Figure 1. Chest X-ray showing right pneumothorax and pneumediastinum pre- and post-chest tube insertion
A: Before chest tube insertion (the arrow is pointing at the pneumothorax before tube insertion); B: After chest tube insertion (the arrow is pointing at the resolution of pneumothorax after tube insertion)
Figure 2
Figure 2. Coronal view of CT abdomen with IV and oral contrast post-ERCP showing extensive pneumoperitoneum
The arrow is pointing at the extensive pneumoperitoneum CT: computed tomography; IV: intravenous; ERCP: endoscopic retrograde cholangiopancreatography
Figure 3
Figure 3. Axial view of CT abdomen with IV and oral contrast post-ERCP showing extensive pneumoperitoneum
The arrow is pointing at the extensive pneumoperitoneum CT: computed tomography; IV: intravenous; ERCP: endoscopic retrograde cholangiopancreatography
Figure 4
Figure 4. Axial view of CT abdomen with IV and oral contrast post-ERCP showing esophageal perforation
The arrow is pointing at the site of esophageal perforation CT: computed tomography; IV: intravenous; ERCP: endoscopic retrograde cholangiopancreatography
Figure 5
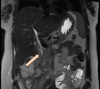
Figure 5. MRCP Promovist
The arrow is pointing at the injured site in the distal CBD MRCP: magnetic resonance cholangiopancreatography; CBD: common bile duct
Figure 6
Figure 6. Follow-up coronal view of CT abdomen with IV contrast
The arrow shows persistent communication between the para-duodenal collection and the posterior aspect of the distal CBD CT: computed tomography; IV: intravenous; CBD: common bile duct
Figure 7
Figure 7. Follow-up axial view CT abdomen with IV contrast
The arrow shows persistent communication between the para-duodenal collection and the posterior aspect of the distal CBD CT: computed tomography; IV: intravenous; CBD: common bile duct
Figure 8
Figure 8. Follow-up MRCP
The arrow is pointing at the biliary leak MRCP: magnetic resonance cholangio pancreatography

References

    1. The endoscopic treatment of iatrogenic gastrointestinal perforation. Schmidt A, Fuchs KH, Caca K, Küllmer A, Meining A. Dtsch Arztebl Int. 2016;113:121–128. - PMC - PubMed
    1. Classification and management of perforations complicating endoscopic sphincterotomy. Howard TJ, Tan T, Lehman GA, et al. Surgery. 1999;126:658–665. - PubMed
    1. ERCP-related perforations: risk factors and management. Enns R, Eloubeidi MA, Mergener K, Jowell PS, Branch MS, Pappas TM, Baillie J. Endoscopy. 2002;34:293–298. - PubMed
    1. Validity of clinical criteria in the management of endoscopic retrograde cholangiopancreatography related duodenal perforations. Assalia A, Suissa A, Ilivitzki A, et al. Arch Surg. 2007;142:1059–1064. - PubMed
    1. Primary endoscopic approximation suture under cap-assisted endoscopy of an ERCP-induced duodenal perforation. Lee TH, Bang BW, Jeong JI, et al. World J Gastroenterol. 2010;16:2305–2310. - PMC - PubMed

Publication types

LinkOut - more resources