Skip to main page content
U.S. flag

An official website of the United States government

Dot gov

The .gov means it’s official.
Federal government websites often end in .gov or .mil. Before sharing sensitive information, make sure you’re on a federal government site.

Https

The site is secure.
The https:// ensures that you are connecting to the official website and that any information you provide is encrypted and transmitted securely.

Access keys NCBI Homepage MyNCBI Homepage Main Content Main Navigation
Case Reports
. 2024 Oct 26;16(10):e72444.
doi: 10.7759/cureus.72444. eCollection 2024 Oct.

Pyogenic Liver Abscess and the Important Role of Point-of-Care Ultrasound (POCUS) in Daily Practice: A Report of Two Cases

Affiliations
Case Reports

Pyogenic Liver Abscess and the Important Role of Point-of-Care Ultrasound (POCUS) in Daily Practice: A Report of Two Cases

Abdur Rahman Rubel et al. Cureus. .

Abstract

A pyogenic liver abscess (PLA) is uncommon and a potentially life-threatening condition. Clinical manifestations and laboratory investigations can be non-specific and the detection of PLAs requires imaging, which can often be delayed. Point-of-care ultrasound (POCUS) is now becoming more widely adopted and plays an important role in clinical practice. We report two cases of PLA, one of which was a gas-forming PLA that we encountered in a district general hospital where POCUS played an important role in the diagnosis and management. The diagnoses of PLAs were initially unsuspected due to a combination of non-specific symptom manifestations, initial negative imaging, and a subtle radiological clue that was missed due to a lack of awareness. Bedside POCUS examinations were done due to clinical deterioration in one patient and lack of inflammatory marker improvement in both patients. These cases highlight the important role of POCUS in the management of patients with liver abscesses.

Keywords: diagnosis; liver abscess; pocus; transabdominal ultrasound; ultrasound.

PubMed Disclaimer

Conflict of interest statement

Human subjects: Consent for treatment and open access publication was obtained or waived by all participants in this study. Medical and Health Research Ethic Committee, Ministry of Health, Brunei Darussalam issued approval Not applicable. Conflicts of interest: In compliance with the ICMJE uniform disclosure form, all authors declare the following: Payment/services info: All authors have declared that no financial support was received from any organization for the submitted work. Financial relationships: All authors have declared that they have no financial relationships at present or within the previous three years with any organizations that might have an interest in the submitted work. Other relationships: All authors have declared that there are no other relationships or activities that could appear to have influenced the submitted work.

Figures

Figure 1
Figure 1. Admission chest radiograph showing normal lung fields but also air pockets (arrow) in the right upper abdomen in the position of the liver that was missed
Figure 2
Figure 2. Ultrasound scan of the abdomen showing a large irregular hypoechogenic cavity (red broken arrow) with a solid component at the boundary (white arrows) located in the dome of the diaphragm. A different section of the lesion showed irregular echogenic shadows with mild posterior reverberation artifacts (yellow arrows) of air collections consistent with a GFPLA.
GFPLA: gas-forming pyogenic liver abscess
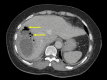
Figure 3
Figure 3. An axial contrast computed tomography image showing a large liver abscess with pockets of gas (arrows) consistent with a GFPLA
GFPLA: gas-forming pyogenic liver abscess
Figure 4
Figure 4. POCUS images using a portable handheld ultrasound machine showing a large mixed hypoechoic cavity (yellow arrows) with internal debris affecting the left lobe of the liver, segments 2 and 3
POCUS: point-of-care ultrasound
Figure 5
Figure 5. Axial CT image showing the large abscess (12 x 7 cm) indicated by the arrows corresponding to POCUS findings. The hypoechogenic areas represent liquefaction of the liver abscess.
POCUS: point-of-care ultrasound

References

    1. Maximal diameter of liver abscess independently predicts prolonged hospitalization and poor prognosis in patients with pyogenic liver abscess. Lee CH, Jo HG, Cho EY, et al. BMC Infect Dis. 2021;21:171. - PMC - PubMed
    1. Gas-forming pyogenic liver abscess: a world review. Thng CB, Tan YP, Shelat VG. Ann Hepatobiliary Pancreat Surg. 2018;22:11–18. - PMC - PubMed
    1. The role of the liver in sepsis. Yan J, Li S, Li S. Int Rev Immunol. 2014;33:498–510. - PMC - PubMed
    1. How to improve access to medical imaging in low- and middle-income countries? Frija G, Blažić I, Frush DP, Hierath M, Kawooya M, Donoso-Bach L, Brkljačić B. EClinicalMedicine. 2021;38:101034. - PMC - PubMed
    1. The use of point-of-care ultrasound in the diagnosis and percutaneous aspiration of liver abscess in a resource-limited country: a case report. Bittaye SO, Tamba S, Jaw M, Joof S, Pelletier I, Pelletier J. Cureus. 2024;16:0. - PMC - PubMed

Publication types

LinkOut - more resources