Comprehensive Management of Cholesteatoma in Otitis Media: Diagnostic Challenges, Imaging Advances, and Surgical Outcome
- PMID: 39597935
- PMCID: PMC11594670
- DOI: 10.3390/jcm13226791
Comprehensive Management of Cholesteatoma in Otitis Media: Diagnostic Challenges, Imaging Advances, and Surgical Outcome
Abstract
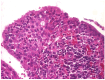
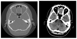
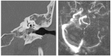
Background: This study presents a comprehensive analysis of cholesteatoma of the middle ear, focusing on its clinical presentation, diagnostic imaging, and treatment outcomes. Cholesteatomas are defined by the keratinized squamous epithelium within the middle ear, leading to significant bone erosion, often affecting the ossicular chain and surrounding structures. Methods: The study explores various mechanisms involved in cholesteatoma progression, including enzymatic lysis, inflammatory responses, and neurotrophic disturbances. The study conducted a retrospective clinical and statistical review of 580 patients over a 20-year period (2003-2023), highlighting the role of advanced imaging, including computed tomography (CT) and diffusion-weighted magnetic resonance imaging (DWI), in preoperative planning and postoperative follow-up. Results: Findings revealed that early detection and intervention are crucial in preventing severe complications such as intracranial infection and hearing loss. Surgical treatment primarily involved tympanoplasty and mastoidectomy, with a recurrence rate of 1.55% within two years. The study underscores the importance of integrating imaging advancements into clinical decision-making to enhance patient outcomes and suggests further investigation into molecular mechanisms underlying cholesteatoma progression and recurrence. Histopathological and microbiological analysis was performed to identify pathological patterns and microbial agents. Conclusions: The study highlights the importance of early diagnosis and intervention to prevent complications such as intracranial infections and permanent hearing loss, while also emphasizing the role of advanced imaging techniques in the management and long-term monitoring of cholesteatoma patients.
Keywords: CT; MRI; bone erosion; cholesteatoma; imaging; mastoidectomy; middle ear; radiography; tympanoplasty.
Conflict of interest statement
The authors declare no conflicts of interest.
Figures
References
-
- Abramson M. Colagenolytic activity in middle ear cholesteatoma. Ann. Otol. 1969;78:112–124. - PubMed
LinkOut - more resources
Full Text Sources
