Chronic Manganese Neuro-Toxicity in a Patient With Cirrhosis and the Role of Iron-Deficiency Anaemia
- PMID: 39649231
- PMCID: PMC11624899
- DOI: 10.7759/cureus.75198
Chronic Manganese Neuro-Toxicity in a Patient With Cirrhosis and the Role of Iron-Deficiency Anaemia
Abstract
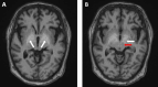
Patients with chronic liver disease (CLD) are prone to complications associated with impaired liver functioning. This coupled with iron-deficiency anaemia (IDA) can predispose them to multiple comorbidities. We present an interesting case of a 69-year-old woman with a background history of liver cirrhosis due to metabolic dysfunction-associated steatotic liver disease (MASLD) with frequent travels to Bangladesh, a southeast Asian country known for having high levels of manganese (Mn) in water for domestic use. She presented with progressively worsening cognition and extrapyramidal symptoms. She underwent routine blood tests including for liver functions followed by a non-contrast computed tomogram (CT) of the head that did not suggest a possible cause. However, magnetic resonance imaging (MRI) of the brain showed hyperintensities bilaterally in the globus pallidus, subthalamic nucleus, red nucleus, and substantia nigra and raised the possibility of Mn toxicity. This was confirmed with repeated raised blood levels of Mn. The query was raised for acute toxicity to Mn, followed by consideration of CLD history associated with reduced elimination of Mn. This was complicated further by her history of IDA. Her case was discussed in a multi-disciplinary setting with specialities including radiology, gastroenterology, neurology, psychiatry, hepatology, and elderly medicine. Following this, a decision was made for the best supportive management of the patient. This case highlights the importance of MRI in the detection of a rare case of Mn toxicity, in a predisposed individual contributing to cognitive decline with extrapyramidal symptoms.
Keywords: atypical parkinsonism; cirrhosis; manganese neurotoxicity; metabolic dysfunction-associated steatotic liver disease (masld); non-alcoholic fatty liver disease (nafld).
Copyright © 2024, Jamal et al.
Conflict of interest statement
Human subjects: Consent for treatment and open access publication was obtained or waived by all participants in this study. Conflicts of interest: In compliance with the ICMJE uniform disclosure form, all authors declare the following: Payment/services info: All authors have declared that no financial support was received from any organization for the submitted work. Financial relationships: All authors have declared that they have no financial relationships at present or within the previous three years with any organizations that might have an interest in the submitted work. Other relationships: All authors have declared that there are no other relationships or activities that could appear to have influenced the submitted work.
Figures



References
-
- Ross AC, Caballero B, Cousins RJ, Tucker KL, Ziegler TR. Ziegler ed. Modern Nutrition in Health and Disease. 11th ed. Baltimore, MD: Lippincott Williams & Wilkins. Baltimore, MD: Lippincott Williams & Wilkins; 2014. Modern Nutrition in Health and Disease; pp. 238–244.
-
- Nielsen FH. Present Knowledge in Nutrition. Wiley-Blackwell; 2012. Manganese, molybdenum, boron, chromium, and other trace elements; pp. 586–607.
-
- The essential element manganese, oxidative stress, and metabolic diseases: links and interactions. Li L, Yang X. https://pubmed.ncbi.nlm.nih.gov/29849912/ Oxid Med Cell Longev. 2018;2018:7580707. - PMC - PubMed
-
- Nutritional aspects of manganese homeostasis. Aschner JL, Aschner M. https://pubmed.ncbi.nlm.nih.gov/16099026/ Mol Aspects Med. 2005;26:353–362. - PMC - PubMed
-
- Intake, serum concentrations, and urinary excretion of manganese by adult males. Greger JL, Davis CD, Suttie JW, Lyle BJ. https://pubmed.ncbi.nlm.nih.gov/2309652/ Am J Clin Nutr. 1990;51:457–461. - PubMed
Publication types
LinkOut - more resources
Full Text Sources