Verruciform Xanthoma Presenting Within an Ear Piercing
- PMID: 39649974
- PMCID: PMC11623414
- DOI: 10.4103/ijd.ijd_244_23
Verruciform Xanthoma Presenting Within an Ear Piercing
Abstract
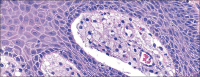
Verruciform xanthomas are rare lesions affecting 0.025-0.5% of the population. They present as an asymptomatic, slow growing solitary lesion on the oral mucosa. Commonly misdiagnose as squamous cell carcinoma, verruca vulgaris, leukoplakia, and lichen planus. Presented is a 22 year old male with a painful verruciform xanthoma on the posterior ear lobe in a prior ear piercing.
Keywords: Keloid; trauma-induced; verruciform xanthoma.
Copyright: © 2024 Indian Journal of Dermatology.
Conflict of interest statement
There are no conflicts of interest.
Figures
References
- 
    - Warren HR. The Vexing Verruciform Xanthoma. American Academy of Dermatology. 2022. [[Last accessed on 2022 Oct 25]]. Available from: https://www.aad.org/dw/dw-insights-and-inquiries/archive/2022/vexing-ver... .
 
- 
    - Getz GI, Parag-Sharma K, Reside J, Padilla RJ, Amelio AL. 1Identification of NSDHL mutations associated with CHILD syndrome in oral verruciform xanthoma. Oral Surg Oral Med Oral Pathol Oral Radiol. 2019;128:60–9. - PubMed
 
- 
    - Stephens M, Rubin AI, Perman MJ. Verruciform xanthoma in a patient with recessive dystrophic epidermolysis bullosa: Case report and literature review. Pediatr Dermatol. 2020;37:355–7. - PubMed
 
- 
    - Evan-Browning E, Rork J, O’Donnell P, Elaba Z, Deng A, Wiss K. Verruciform xanthoma in recessive dystrophic epidermolysis bullosa and keratitis-ichthyosis-deafness syndrome: Report of two cases and a review of the literature. Pediatr Dermatol. 2020;37:176–9. - PubMed
 
Publication types
LinkOut - more resources
- Full Text Sources
 
         
               
              