The Phytochemical Profile of the Petroleum Ether Extract of Purslane Leaves and Its Anticancer Effect on 4-(Methylnitrosamino)-1-(3-pyridyl)-1-buta-4 None (NNK)-Induced Lung Cancer in Rats
- PMID: 39684736
- PMCID: PMC11641252
- DOI: 10.3390/ijms252313024
The Phytochemical Profile of the Petroleum Ether Extract of Purslane Leaves and Its Anticancer Effect on 4-(Methylnitrosamino)-1-(3-pyridyl)-1-buta-4 None (NNK)-Induced Lung Cancer in Rats
Abstract
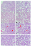
Lung cancer is a prevalent and very aggressive sickness that will likely claim 1.8 million lives by 2022, with an estimated 2.2 million additional cases expected worldwide. The goal of the current investigation was to determine whether petroleum ether extract of purslane leaf could be used to treat lung cancer induced by 4-(Methylnitrosamino)-1-(3-pyridyl)-1-buta-4 none (NNK) in rats. In the in vitro extract recorded, promising anticancer effects in A540 cell lines with IC50 were close to the reference drug, doxorubicin (14.3 and 13.8 μg/mL, respectively). A dose of 500 mg/kg/day orally for 20 weeks exhibited recovery effects on NNK-induced lung cancer with a good safety margin, where Intercellular Adhesion Molecule-1 (ICAM-1), the lung cancer biomarker, was significantly reduced by about 18.75% compared to cancer control. Purslane exhibited many anticancer mechanisms, including (i) anti-proliferation as a significant reduction in Ki67 level (20.42%), (ii) anti-angiogenesis as evident by a considerable decrease in Matrix metalloproteinase-9 (MMP-9) expression (79%), (iii) anti-inflammation as a remarked decline in Insulin-like growth factor 1 (IGF-1) expression (62%), (iv) pro-apoptotic effect as a significant activation in Forkhead box protein O1 (FOXO1) expression (262%), and (v) anti-oxidation as remarkable activation on antioxidant biomarkers either non-enzymatic or enzymatic concurrent with considerable depletion on oxidative stress biomarker, in comparison to cancer control. The histopathological examination revealed that Purslane extract showed markedly improved tissue structure and reduced pathological changes across all examined organs caused by NNK. The anti-lung cancer effect exhibited by the extract may be linked to the active ingredients of the extract that were characterized by LC-MS, such as α-linolenic acid, linoleic acid, palmitic acid, β-sitosterol, and alkaloids (berberine and magnoflorine).
Keywords: HPLC-QTOF/HR-MS/MS; Purslane leaf; lung cancer; phytochemical profile.
Conflict of interest statement
The authors declare no conflict of interest.
Figures
References
-
- World Health Organization Learn About Lung Cancer. [(accessed on 26 June 2023)];2023 Available online: https://www.who.int/news-room/fact-sheets/detail/lung-cancer?gad_source=....
-
- Aini N.S., Ansori A.N.M., Kharisma V.D., Syadzha M.F., Widyananda M.H., Murtadlo A.A.A., Probojati R.T., Ullah E., Naw S.W., Jakhmola V., et al. Potential roles of Purslane (Portulaca oleracea L.) as antimetabolic syndrome: A review. Pharmacogn. J. 2022;14:710–714. doi: 10.5530/pj.2022.14.90. - DOI
-
- Damavandi R.D., Shidfar F., Najafi M., Janani L., Masoodi M., Heshmati J., Ziaei S. Effect of portulaca oleracea (purslane) extract on inflammatory factors in nonalcoholic fatty liver disease: A randomized, double-blind clinical trial. J. Funct. Foods. 2023;102:105465. doi: 10.1016/j.jff.2023.105465. - DOI
MeSH terms
Substances
LinkOut - more resources
Full Text Sources
Medical
Research Materials
Miscellaneous
