Heart failure of very rare aetiology-haemochromatosis Type 3: a case report
- PMID: 39687529
- PMCID: PMC11647590
- DOI: 10.1093/ehjcr/ytae637
Heart failure of very rare aetiology-haemochromatosis Type 3: a case report
Abstract
Background: Haemochromatosis is a pathological condition characterized by the accumulation of iron in parenchymal organs, leading to toxic damage and dysfunction. Cardiac haemochromatosis represents one of the rare causes of severe heart failure (HF) that can be potentially prevented with targeted treatment.
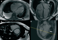
Case summary: We present the case of a 41-year-old female who was hospitalized for decompensated HF. Echocardiography revealed severe systolic dysfunction with a phenotype of dilated cardiomyopathy, accompanied by secondary moderate mitral regurgitation and severe tricuspid regurgitation (TR). To differentiate potential causes of HF, coronary angiography, cardiac magnetic resonance imaging (MRI), and endomyocardial biopsy were performed. Based on clinical findings, laboratory results, cardiac MRI, and endomyocardial biopsy data, a diagnosis of haemochromatosis was confirmed, and mutations in the TFR2 gene, responsible for haemochromatosis Type 3, were identified. The patient was treated in accordance with the latest European Society of Cardiology HF guidelines, and specific treatment for haemochromatosis, including therapeutic phlebotomy and iron chelation therapy, was initiated, resulting in a significant positive outcome.
Discussion: Investigating the aetiology of HF is essential, as even rare causes can be identified, and specific treatments are available that significantly improve prognosis and survival.
Keywords: Case report; Dilated cardiomyopathy; Haemochromatosis type 3; Heart failure; Rare disease.
© The Author(s) 2024. Published by Oxford University Press on behalf of the European Society of Cardiology.
Conflict of interest statement
Conflict of interest: None declared.
Figures





References
-
- Arbelo E, Protonotarios A, Gimeno JR, Arbustini E, Barriales-Villa R, Basso C, et al. . 2023 ESC Guidelines for the management of cardiomyopathies: developed by the task force on the management of cardiomyopathies of the European Society of Cardiology (ESC). Eur Heart J 2023;44:3503–3626. - PubMed
-
- TFR2-related hemochromatosis [Porto G., expert reviewer]. Orphanet: an online rare disease and orphan drug data base. https://www.orpha.net/en/disease/detail/225123?name=hemochromatosis%20ty... (4 January 2024).
Publication types
LinkOut - more resources
Full Text Sources
Research Materials
Miscellaneous