Delayed Diagnosis of Disseminated Invasive Aspergillosis with Purulent Myocarditis in an Immunocompromised Host
- PMID: 39728015
- PMCID: PMC11675312
- DOI: 10.3390/idr16060093
Delayed Diagnosis of Disseminated Invasive Aspergillosis with Purulent Myocarditis in an Immunocompromised Host
Abstract
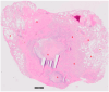
Introduction: Invasive aspergillosis (IA) is an opportunistic fungal infection that typically occurs in the immunocompromised host and is associated with severe morbidity and mortality. Myocardial abscess formation is seldomly described. Detailed Case Description: We present a case of IA with purulent myocarditis. The patient was on long-term high-dose corticosteroid and mycophenolate mofetil therapy for severe lupus nephritis. After multiple visits to his general practitioner and nephrologist for general malaise, he was admitted to our hospital with visual complaints. Within several days, he developed atrial fibrillation, respiratory insufficiency, and, finally, a decreased level of consciousness. After admission to the intensive care unit, the broncho alveolar lavage (BAL) fluid galactomannan (GM) index was normal, but the serum GM index was severely elevated. Despite initiation of antifungal therapy, the patient passed away shortly thereafter. Autopsy revealed massive intracranial hemorrhage and disseminated IA affecting the lungs, brain, and myocardium, with macroscopic myocardial abscess formation. Discussion: This classic case of diagnostic uncertainty illustrates how invasive fungal infections can progress to disseminated disease while showing nonspecific symptoms only. It emphasizes the importance of vigilance for opportunistic fungal infections in a growing category of immunocompromised patients. Conclusion: Clinicians should have a low threshold of suspicion for fungal infections in patients on combination immunosuppressive medication, such as high-dose corticosteroid therapy in combination with T-cell inhibitors like MMF.
Keywords: immunocompromised host; invasive aspergillosis; myocarditis.
Conflict of interest statement
The authors declare no conflict of interest.
Figures





References
-
- Donnelly J.P., Chen S.C., Kauffman C.A., Steinbach W.J., Baddley J.W., Verweij P.E., Clancy C.J., Wingard J.R., Lockhart S.R., Groll A.H., et al. Revision and Update of the Consensus Definitions of Invasive Fungal Disease from the European Organization for Research and Treatment of Cancer and the Mycoses Study Group Education and Research Consortium. Clin. Infect. Dis. 2020;71:1367–1376. doi: 10.1093/cid/ciz1008. - DOI - PMC - PubMed
Publication types
LinkOut - more resources
Full Text Sources