Skip to main page content
U.S. flag

An official website of the United States government

Dot gov

The .gov means it’s official.
Federal government websites often end in .gov or .mil. Before sharing sensitive information, make sure you’re on a federal government site.

Https

The site is secure.
The https:// ensures that you are connecting to the official website and that any information you provide is encrypted and transmitted securely.

Access keys NCBI Homepage MyNCBI Homepage Main Content Main Navigation
. 2024 Oct-Dec;41(4):221-228.
doi: 10.4103/joc.joc_26_24. Epub 2024 Nov 8.

Inter- and Intra-observer Reproducibility of Thyroid Fine Needle Aspiration Cytology: An investigation of Bethesda 2023 Using Immunohistochemical BRAFV600E Antibody

Affiliations

Inter- and Intra-observer Reproducibility of Thyroid Fine Needle Aspiration Cytology: An investigation of Bethesda 2023 Using Immunohistochemical BRAFV600E Antibody

Erdogan Bahattin et al. J Cytol. 2024 Oct-Dec.

Abstract

Background: The Bethesda System for Reporting Thyroid Cytology (TBSRTC) recommended for the interpretation of needle aspiration cytology of the thyroid, is the most widely used worldwide. Studies have shown that the disagreement between observers, especially in the Bethesda III and IV diagnostic categories, is not insignificant at 10%-40%. In the TBSRTC 2023 version, some definitions were removed and simplified, and molecular pathology was proposed as a complement to cytopathology. The current availability of molecular tests is limited because they can be performed in a few centers and are expensive. Therefore, our study investigated intra- and inter-observer agreement according to TBSRTC 2023 using only immunohistochemically BRAFV600E antibodies.

Materials and methods: The study included 173 cases with aspiration cytology evaluated between 2019 and 2022. The immunohistochemical procedure applied BRAFV600E (RM8) monoclonal antibody to cell block sections. All slides were assessed and categorized by three different observers. Data were interpreted using Cohen's kappa and Fleiss's kappa test in the Statistical Package for Social Sciences Windows 2021 program.

Results: For the applied RM8 antibody, sensitivity was 64.71% and specificity was 87.27%. In terms of diagnostic categories, inter-observer agreement was good for Bethesda II (K = 0.606) and moderate for Bethesda III (K = 0.429), Bethesda IV (K = 0.523), Bethesda V (K = 0,464), and Bethesda VI (K = 0.544), respectively.

Conclusion: In conclusion, the study reveals that the 2023 version of TBSRTC provides improvement, especially in the categories of uncertain diagnosis, but is still insufficient to improve cytological diagnostic accuracy, at which point molecular analyses become even more important.

Keywords: BRAF V600E antibody; inter-observer agreement; reproducibility; thyroid fine needle aspiration.

PubMed Disclaimer

Conflict of interest statement

There are no conflicts of interest.

Figures

Figure 1
Figure 1
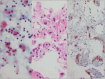
Thyroid FNA, Bethesda II (20 × 10). Cytospin smear, PAP staining, and thyroid follicle epithelial cell groups with fine vesicular nuclei are observed. There is no positive reaction in the BRAF V600E (MR8) IHC application
Figure 2
Figure 2
Thyroid FNA, Bethesda II, cystic degeneration (20 × 10). Cellblock, hematoxylin and eosin (H&E) staining; in the ground, colloid, some of them containing pigment, macrophage-rich inflammatory cell reaction, and thyroid follicle epithelial cell groups with fine vesicular nuclei are observed. Artefactual staining is present in macrophages, and BRAF V600E (MR8) IHC staining is absent in thyroid follicle cells
Figure 3
Figure 3
Thyroid FNA, Bethesda II, autoimmune thyroiditis (20 × 10). Cytospin smear (PAP staining), cell block (H&E staining): In the background, lymphocyte-rich inflammatory cell reaction and thyroid follicle epithelial cell groups with oncocytic cytoplasm are observed. Thyroid follicle cells have a weak to moderate reaction on BRAF V600E (MR8) IHC staining
Figure 4
Figure 4
Thyroid FNA, Bethesda V (20 × 10). Cytospin smear (PAP staining), cell block (H&E staining): In follicular epithelial cells with follicular structure, the chromatin network’s opening and the nuclei’s enlargement are observed. BRAF V600E (MR8) IHC staining is negative in follicle cells
Figure 5
Figure 5
Thyroid FNA, Bethesda V (20 × 20). Cytospin smear (PAP staining), cell block (H&E staining): In follicular epithelial cells with papillary structure, the opening of chromatin network, enlargement of nuclei, growth, and intra-nuclear incision are observed. BRAF V600E MR8 IHC staining is positive in follicle cells

References

    1. Syed ZA, Edmund SC. The Bethesda System for Reporting Thyroid Cytopathology: Definitions, Criteria and Explanatory Note. New York, NY: Springer Science; 10.1007/978-0-387-87666-5.
    1. Zimmermann AK, Camenisch U, Rechsteiner MP, Bode-Lesniewska B, Rössle M. Value of immunohistochemistry in detecting BRAF V600E mutations in fine-needle aspiration biopsies of papillary thyroid carcinoma. Cancer Cytopatho. 2014;122:48–58. - PubMed
    1. Bhasin TS, Mannan R, Manjari M, Mehra M, Sekhon AKG, Chandey M, et al. Reproducibility of “The Bethesda system for reporting thyroid cytopathology”: A multicenter study with review of the literature. J Clin Diagn Res. 2013;7:1051–4. - PMC - PubMed
    1. Ahmed S, Ahmad M, Khan MA, Kazi F, Noreen F, Nawaz S, et al. The interobserver reproducibility of thyroid cytopathology using Bethesda Reporting System: Analysis of 200 cases. J Pak Med Assoc. 2013;63:1252–5. - PubMed
    1. Awasthi P, Goel G, Khurana U, Joshi D, Majumdar K, Kapoor N. Reproducibility of “the Bethesda system for reporting thyroid cytopathology”: A retrospective analysis of 107 patients. J Cytol. 2018;35:33–6. - PMC - PubMed

LinkOut - more resources