Acute Arterial Ischemia Secondary to Intrapelvic Acetabular Migration: A Multidisciplinary Approach
- PMID: 39759676
- PMCID: PMC11700517
- DOI: 10.7759/cureus.75231
Acute Arterial Ischemia Secondary to Intrapelvic Acetabular Migration: A Multidisciplinary Approach
Abstract
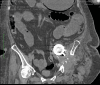
This case report evaluates current diagnostic and treatment approaches for intrapelvic acetabular migration, focusing on the rare but serious complication of acute limb ischemia following hip arthroplasty. A 67-year-old female with a history of total hip arthroplasty 10 years ago presented with acute limb ischemia after experiencing a traumatic event 72 hours prior, which had caused displacement of her hip prosthesis. Notably, she had a history of a traumatic event two years earlier for which she had been advised to undergo surgical correction, which she had refused. A multidisciplinary team assessed her preoperatively. She was diagnosed with SVS III irreversible acute limb ischemia due to compression of the external iliac artery from the prosthesis migration, prompting an emergency hip disarticulation. The patient successfully underwent hip disarticulation and mechanical thrombectomy of the external iliac artery using a Fogarty catheter. Postoperative recovery was notable, with significant pain relief, improved mental status, and restoration of the iliac pulse. Early diagnosis and management of acute arterial injury are crucial to preventing severe outcomes. This report highlights the importance of timely intervention to mitigate limb-threatening and life-threatening complications. It underscores the need for vigilant monitoring during hip replacements and the effectiveness of a multidisciplinary approach in complex cases. Continued research is essential to enhance diagnostic and therapeutic strategies for this rare yet critical complication and to improve overall patient outcomes.
Keywords: acetabular migration; acute limb ischemia; arterial ischemia; hip disarticulation; limb salvage; peripheral arterial disease; prosthetic joint infection; thrombosis.
Copyright © 2024, Sánchez et al.
Conflict of interest statement
Human subjects: Consent for treatment and open access publication was obtained or waived by all participants in this study. Conflicts of interest: In compliance with the ICMJE uniform disclosure form, all authors declare the following: Payment/services info: All authors have declared that no financial support was received from any organization for the submitted work. Financial relationships: All authors have declared that they have no financial relationships at present or within the previous three years with any organizations that might have an interest in the submitted work. Other relationships: All authors have declared that there are no other relationships or activities that could appear to have influenced the submitted work.
Figures



References
-
- Critical review of pelvic fractures associated with external iliac artery lesion: a series of six cases. Pascarella R, Del Torto M, Politano R, Commessatti M, Fantasia R, Maresca A. Injury. 2014;45:374–378. - PubMed
-
- Editor's Choice - European Society for Vascular Surgery (ESVS) 2020 Clinical Practice Guidelines on the Management of Acute Limb Ischaemia. Björck M, Earnshaw JJ, Acosta S, et al. Eur J Vasc Endovasc Surg. 2020;59:173–218. - PubMed
-
- 2024 ACC/AHA/AACVPR/APMA/ABC/SCAI/SVM/SVN/SVS/SIR/VESS Guideline for the Management of Lower Extremity Peripheral Artery Disease: a Report of the American College of Cardiology/American Heart Association Joint Committee on Clinical Practice Guidelines. Gornik HL, Aronow HD, Goodney PP, et al. J Am Coll Cardiol. 2024;83:2497–2604. - PubMed
-
- Hip disarticulation--the evolution of a surgical technique. Wakelin SJ, Oliver CW, Kaufman MH. Injury. 2004;35:299–308. - PubMed
Publication types
LinkOut - more resources
Full Text Sources