Molecular Profiling of Sinonasal Adenoid Cystic Carcinoma: Canonical and Noncanonical Gene Fusions and Mutation
- PMID: 39760648
- PMCID: PMC11834963
- DOI: 10.1097/PAS.0000000000002349
Molecular Profiling of Sinonasal Adenoid Cystic Carcinoma: Canonical and Noncanonical Gene Fusions and Mutation
Abstract
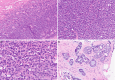
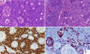
Adenoid cystic carcinomas (AdCC) of salivary gland origin have long been categorized as fusion-defined carcinomas owing to the almost universal presence of the gene fusion MYB::NFIB , or less commonly MYBL1::NFIB. Sinonasal AdCC is an aggressive salivary gland malignancy with no effective systemic therapy. Therefore, it is urgent to search for potentially targetable genetic alterations associated with AdCC. We have searched the authors' registries and selected all AdCCs arising in the sinonasal tract. The tumors were examined histologically, immunohistochemically, by next generation sequencing (NGS) and/or fluorescence in situ hybridization (FISH) looking for MYB/MYBL1 and/or NFIB gene fusions or any novel gene fusions and/or mutations. In addition, all tumors were tested for HPV by genotyping using (q)PCR. Our cohort comprised 88 cases of sinonasal AdCC, predominantly characterized by canonical MYB::NFIB (49 cases) and MYBL1::NFIB (9 cases) fusions. In addition, noncanonical fusions EWSR1::MYB ; ACTB::MYB; ESRRG::DNM3 , and ACTN4::MYB were identified by NGS, each of them in 1 case. Among nine fusion-negative AdCCs, FISH detected rearrangements in MYB (7 cases) , NFIB (1 case), and EWSR1 (1 case). Six AdCCs lacked fusions or gene rearrangements, while 11 cases were unanalyzable. Mutational analysis was performed by NGS in 31/88 (35%) AdCCs. Mutations in genes with established roles in oncogenesis were identified in 21/31 tumors (68%), including BCOR (4/21; 19%), NOTCH1 (3/21; 14%), EP300 (3/21; 14%), SMARCA4 (2/21; 9%), RUNX1 (2/21; 9%), KDM6A (2/21; 9%), SPEN (2/21; 9%), and RIT1, MGA, RB1, PHF6, PTEN, CREBBP, DDX41, CHD2, ROS1, TAF1, CCD1, NF1, PALB2, AVCR1B, ARID1A, PPM1D, LZTR1, GEN1 , PDGFRA , each in 1 case (1/21; 5%). Additional 24 cases exhibited a spectrum of gene mutations of uncertain pathogenetic significance. No morphologic differences were observed between AdCCs with MYBL1::NFIB and MYB::NFIB fusions. Interestingly, mutations in the NOTCH genes were seen in connection with both canonical and noncanonical fusions, and often associated with high-grade histology or metatypical phenotype, as well as with poorer clinical outcome. Noncanonical fusions were predominantly observed in metatypical AdCCs. These findings emphasize the value of comprehensive molecular profiling in correlating morphologic characteristics, genetic landscape, and clinical behavior in AdCC.
Copyright © 2025 The Author(s). Published by Wolters Kluwer Health, Inc.
Conflict of interest statement
Conflicts of Interest and Source of Funding: This study was supported by study grant SVV 260652 from the Ministry of Education of the Czech Republic (N.K.), the Cooperatio Program—research area SURG from the Charles University, Czech Republic (N.K., M.B., A.S.), the project National Institute for Cancer Research—NICR (Programme EXCELES, ID Project No. LX22NPO5102)—Funded by the European Union—Next Generation EU (A.S. and M.B.), and the Finnish Cancer Society, Finska Läkaresällskapet, the Turku University Hospital Fund, and the Maritza and Reino Salonen Foundation, Finland (I.L.). For the remaining authors none were declared.
Figures








References
-
- WHO Classification of Tumours Editorial Board . Head and Neck Tumours. Lyon, France: International Agency for Research on Cancer. forthcoming (WHO classification of tumours series, 5th ed.; vol. 9) https://publications.iarc.fr
-
- Fujii K, Murase T, Beppu S, et al. . MYB, MYBL1, MYBL2 and NFIB gene alterations and MYC overexpression in salivary gland adenoid cystic carcinoma. Histopathology. 2017;71:823–834. - PubMed
-
- Persson M, Andren Y, Moskaluk CA, et al. . Clinically significant copy number alterations and complex rearrangements of MYB and NFIB in head and neck adenoid cystic carcinoma. Genes Chromosomes Cancer. 2012;51:805–817. - PubMed
-
- Šteiner P, Andreasen S, Grossmann P, et al. . Prognostic significance of 1p36 locus deletion in adenoid cystic carcinoma of the salivary glands. Virchows Arch. 2018;473:471–480. - PubMed
MeSH terms
Substances
LinkOut - more resources
Full Text Sources
Research Materials
Miscellaneous