Skip to main page content
U.S. flag

An official website of the United States government

Dot gov

The .gov means it’s official.
Federal government websites often end in .gov or .mil. Before sharing sensitive information, make sure you’re on a federal government site.

Https

The site is secure.
The https:// ensures that you are connecting to the official website and that any information you provide is encrypted and transmitted securely.

Access keys NCBI Homepage MyNCBI Homepage Main Content Main Navigation
Case Reports
. 2024 Nov;86(4):693-698.
doi: 10.18999/nagjms.86.4.693.

Delayed open-heart operation to remove migrated intracardiac inferior vena cava stents in a living donor liver transplantation recipient: a case report

Affiliations
Case Reports

Delayed open-heart operation to remove migrated intracardiac inferior vena cava stents in a living donor liver transplantation recipient: a case report

Ying-Cheng Chen et al. Nagoya J Med Sci. 2024 Nov.

Abstract

Intracardiac migration of inferior vena cava (IVC) filter or stent is a rare but potentially fatal complication of endovascular venous device placement. There is no consensus whether migrated stents should be surgically removed by open cardiac surgery or retrieved by the percutaneous endovascular route and whether an intervention should be performed immediately or expectantly. Herein, we report a 39-year-old female who received emergent left lobe living donor liver transplantation (LDLT) owing to posthepatectomy liver failure. She underwent angioplasty for IVC stenosis 13 days after her LDLT during which time two IVC stents migrated into right antrum (RA). Because of acute kidney failure, she received perioperative continuous venous-venous hemofiltration. Owing to unstable hemodynamics and impaired liver graft function, an emergent open-heart operation or angiography to remove the migrated metallic stents in the RA was considered very high-risk. After recovery of liver graft and kidney function, she underwent an open-heart surgery to remove the intracardiac migrated IVC stents 40 days after the stent migration and recovered well. Our report is the first to show that a delayed open-heart operation for removal of migrated intracardial IVC stents can be an acceptable choice in selected LDLT recipients.

Keywords: IVC stenosis; delayed open-heart operation; intracardiac migration of IVC stent; living donor liver transplantation.

PubMed Disclaimer

Conflict of interest statement

The authors state that they have no conflict of interest.

Figures

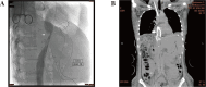
Fig. 1
Fig. 1
Stenosis of outflow of liver graft and migrated intracardial inferior vena cava stents Fig. 1A: Stenosis at the anastomosis of inferior vena caca and hepatic vein of the liver graft (arrow) was diagnosed 13 days post-living donor liver transplantation. Fig. 1B: Both stents stayed at their final position at the junction of the right antrum and superior vena cava (arrow).
Fig. 2
Fig. 2
The two migrated inferior vena caca Wallstents in the right atrium were removed 40 days after their migration.

References

    1. Donaldson J, Obuchowski NA, Le RT, et al. Stenting for Inferior Vena Cava Stenosis After Liver Transplant. AJR Am J Roentgenol. 2019;213(6):1381–1387. doi: 10.2214/AJR.18.20915. - DOI - PubMed
    1. Huber TJ, Hammer S, Loss M, et al. Primary stent angioplasty of the inferior vena cava after liver transplantation and liver resection. Cardiovasc Intervent Radiol. 2014;37(4):949–957. doi: 10.1007/s00270-013-0745-5. - DOI - PubMed
    1. Steinberg E, Gentile C, Heller M, Kaban N, Bang E, Li T. Intracardiac Venous Stent Migration: Emergency Department Presentation of a Catastrophic Complication. J Emerg Med. 2017;53(1):e11–e13. doi: 10.1016/j.jemermed.2017.01.053. - DOI - PubMed
    1. Elmahdy S, Shults CC, Alhaj Moustafa M. An Unusual Cause of Acute Heart Failure: A Case Report of Iliocaval Venous Stent Migration. J Investig Med High Impact Case Rep. 2018;6:2324709618799118. doi: 10.1177/2324709618799118. - DOI - PMC - PubMed
    1. Owens CA, Bui JT, Knuttinen MG, et al. Intracardiac migration of inferior vena cava filters: review of published data. Chest. 2009;136(3):877–887. doi: 10.1378/chest.09-0153. - DOI - PubMed

Publication types

LinkOut - more resources