Multidisciplinary Teamwork in Management of Dislodged Prosthetic Aortic Valve Leaflet
- PMID: 39790142
- PMCID: PMC11708145
- DOI: 10.1016/j.atssr.2023.12.018
Multidisciplinary Teamwork in Management of Dislodged Prosthetic Aortic Valve Leaflet
Abstract
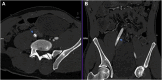
Mechanical valve leaflets have the potential to detach and migrate to unintended locations, leading to life- and limb-threatening situations. We report a unique case of a dislodged mechanical aortic valve leaflet in the right iliac artery bifurcation after a redo mitral valve replacement. This was promptly recognized by input from a multidisciplinary team, allowing immediate correction of the aortic valve insufficiency followed by staged retrieval of the dislodged leaflet to avoid vascular complications. This case highlights the importance of a multidisciplinary team in decision-making and timely intervention. Further research is needed for better understanding of risk factors and prevention strategies.
© 2024 The Authors.
Figures



References
-
- Pawale A., El-Eshmawi A., Tang G.H., Ellozy S.H., Anyanwu A.C. Emergency valve re-replacement for embolization of prosthetic mitral valve disc during catheterization procedure. Ann Thorac Surg. 2013;95:1784–1787. - PubMed
Publication types
LinkOut - more resources
Full Text Sources