Biventricular Dysfunction Due to Chronic Mitral Valve Regurgitation Caused by Aberrant Mitral Arcade
- PMID: 39790622
- PMCID: PMC11708329
- DOI: 10.1016/j.atssr.2024.05.002
Biventricular Dysfunction Due to Chronic Mitral Valve Regurgitation Caused by Aberrant Mitral Arcade
Abstract
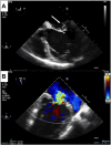
A 53-year-old male individual with chronic severe mitral regurgitation presented with biventricular dysfunction, pulmonary hypertension, and atrial fibrillation. Echocardiography demonstrated a posterior leaflet prolapse with malcoaptation. Mitral valve repair and Maze procedure were performed, revealing absent chordae and direct connection from the anterolateral papillary muscle to the posterior leaflet, consistent with partial mitral arcade. Post bypass, left ventricular dysfunction was addressed by intraaortic balloon pump placement and delayed sternal closure. Post chest closure echocardiography showed no residual mitral regurgitation and restored biventricular function. This case highlights a rare presentation of mitral regurgitation with unique anatomical anomaly, successfully managed with a comprehensive surgical approach.
© 2024 The Authors.
Figures



References
-
- Layman T.E., Edwards J.E. Anomalous mitral arcade. Circulation. 1967;35:389–395. - PubMed
-
- Hakim F.A., Krishnaswamy C., Mookadam F. Mitral arcade in adults—a systematic overview. Echocardiography. 2013;30:354–359. - PubMed
-
- Zegdi R., Khabbaz Z., Chauvaud S., Garcon P., Carpentier A., Deloche A. Functional classification dictates type of repair in "complex" mitral insufficiency: application to a case of a hammock mitral valve in an adult patient. J Thorac Cardiovasc Surg. 2005;130:217–218. - PubMed
-
- Delmo Walter E.M., Javier M., Hetzer R. Repair of parachute and hammock valve in infants and children: Early and late outcomes. Semin Thorac Cardiovasc Surg. 2016;28:448–459. - PubMed
Publication types
LinkOut - more resources
Full Text Sources