Adropin/Tirzepatide Combination Mitigates Cardiac Metabolic Aberrations in a Rat Model of Polycystic Ovarian Syndrome, Implicating the Role of the AKT/GSK3β/NF-κB/NLRP3 Pathway
- PMID: 39795860
- PMCID: PMC11720588
- DOI: 10.3390/ijms26010001
Adropin/Tirzepatide Combination Mitigates Cardiac Metabolic Aberrations in a Rat Model of Polycystic Ovarian Syndrome, Implicating the Role of the AKT/GSK3β/NF-κB/NLRP3 Pathway
Abstract
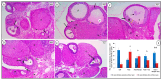
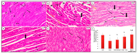
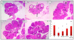
Polycystic ovarian syndrome (PCOS) is a multifaceted metabolic and hormonal disorder in females of reproductive age, frequently associated with cardiac disturbances. This research aimed to explore the protective potential of adropin and/or tirzepatide (Tirze) on cardiometabolic aberrations in the letrozole-induced PCOS model. Female Wistar non-pregnant rats were allotted into five groups: CON; PCOS; PCOS + adropin; PCOS + Tirze; and PCOS + adropin+ Tirze. The serum sex hormones, glucose, and lipid profiles were securitized. Cardiac phosphorylated levels of AKT(pAKT), glycogen synthase kinase-3 beta (pGSK-3β), NOD-like receptor family pyrin domain containing 3 (NLPR3), IL-1β and IL-18 were assayed. The cardiac redox status and endoplasmic reticulum stress (ER) parameters including relative glucose-regulated protein 78 (GRP78) and C/EBP homologous protein (CHOP) gene expressions were detected. Finally, the immunoreactivity of cardiac NF-κB, Bcl2, and BAX were assessed. Our results displayed that adropin and/or Tirze intervention successfully alleviated the PCOS-provoked cardiometabolic derangements with better results recorded for the combination treatment. The synergistic effect of adropin and Tirze is mostly mediated via activating the cardiac Akt, which dampens the GSK3β/NF-κB/NLRP3 signaling pathway, with a sequel of alleviating oxidative damage, inflammatory response, ER stress, and related apoptosis, making them alluring desirable therapeutic targets in PCOS-associated cardiac complications.
Keywords: adropin; apoptosis; cardiovascular; inflammation; polycystic ovarian syndrome; tirzepatide.
Conflict of interest statement
The authors declare no conflicts of interest.
Figures
References
-
- Mousa M., Al-Jefout M., Alsafar H., Kirtley S., Lindgren C.M., Missmer S.A., Becker C.M., Zondervan K.T., Rahmioglu N. Prevalence of common gynecological conditions in the middle east: Systematic review and meta-analysis. Front. Reprod. Health. 2021;3:661360. doi: 10.3389/frph.2021.661360. - DOI - PMC - PubMed
-
- Kauffman A.S., Thackray V.G., Ryan G.E., Tolson K.P., Glidewell-Kenney C.A., Semaan S.J., Poling M.C., Iwata N., Breen K.M., Duleba A.J., et al. A Novel Letrozole Model Recapitulates Both the Reproductive and Metabolic Phenotypes of Polycystic Ovary Syndrome in Female Mice. Biol. Reprod. 2015;93:69. doi: 10.1095/biolreprod.115.131631. - DOI - PMC - PubMed
-
- Ollila M.-M., Arffman R.K., Korhonen E., Morin-Papunen L., Franks S., Junttila J., Piltonen T.T. Women with PCOS have an increased risk for cardiovascular disease regardless of diagnostic criteria—A prospective population-based cohort study. Eur. J. Endocrinol. 2023;189:96–105. doi: 10.1093/ejendo/lvad077. - DOI - PubMed
MeSH terms
Substances
LinkOut - more resources
Full Text Sources
Medical
Research Materials
Miscellaneous
