Management of ERCP-Related Perforations: A Single-Center Experience
- PMID: 39797084
- PMCID: PMC11720675
- DOI: 10.3390/jcm14010001
Management of ERCP-Related Perforations: A Single-Center Experience
Abstract
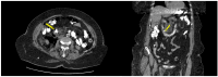
Background/Objectives: Perforations represent rare but serious complications in ERCP. Although several therapeutic algorithms have been proposed to properly address these potentially life-threatening events, there is still no clear consensus on their management. We conducted a single-center retrospective study in order to assess the incidence of ERCP-related perforations and their management, as well as clinical outcomes. Methods: The hospital's electronic database was searched in order to identify all the patients who developed ERCP-related perforations in the period 1 October 2018-30 June 2023. Perforations were classified according to the Stapfer classification. Conservative management included frequent abdominal examinations, the monitoring of vital signs, white blood cell count, complete bowel rest, nasogastric tube placement, and the administration of intravenous fluids and antibiotics. Endoscopic management included biliary stent placement and/or closing observed defects with clips. Results: We recorded eight (1.29%) cases of ERCP-related perforations out of the 619 procedures conducted. We observed six (75%) Stapfer type II and two (25%) type IV perforations. In all but one patient (87.5%), the indication for ERCP was bile duct stones. Seven patients (87.5%) were subjected to sphincterotomy (87.5%) and three (37.5%) to "pre-cuts". All but one patient was treated conservatively (87.5%), with two of them-in which type II perforations were recognized intraprocedurally-also receiving endoscopic treatment with stent placement. On the day of ERCP, one patient with a type II perforation was operated on; suturing of the duodenum followed by duodenal exclusion was applied. Management was successful in all the patients, with a mean hospitalization time of 16.6 ± 4.78 days. Conclusions: Conservative and endoscopic management appear to be associated with good outcomes in Stapfer type II perforations. Nevertheless, an individual multidisciplinary approach involving endoscopists and a hepatobiliary surgeon is essential in order to properly guide the treatment.
Keywords: ERCP perforations; ERPC; management; perforation treatment.
Conflict of interest statement
The authors declare no conflict of interest.
Figures


References
-
- Davis J., Sreevastava D., Dwivedi D., Gadgi S., Sud S., Dudeja P. A Comparison of Stress Response between Insertion of Gastro-Laryngeal Tube and Endotracheal Intubation in Patients Undergoing Upper Gastrointestinal Endoscopic Procedures for Endoscopic Retrograde Cholangiopancreatography. Anesth. Essays Res. 2019;13:13–18. doi: 10.4103/aer.AER_9_19. - DOI - PMC - PubMed
-
- Silviera M.L., Seamon M.J., Porshinsky B., Prosciak M.P., Doraiswamy V.A., Wang C.F., Lorenzo M., Truitt M., Biboa J., Jarvis A.M., et al. Complications related toendoscopic retrograde cholangiopancreatography: A comprehensiveclinical review. J. Gastrointestin. Liver Dis. 2009;18:73–82. - PubMed
-
- Desirée Armas Ojeda M., Marrero V.O., Castellano C.R., Marrero J.C., Mathías Gutierrez M.d.P., Ceballos Santos D., Marchena Gómez J. Duodenal Perforations After Endoscopic Retrograde cholangiopancreatography: Spanish Association of Surgeons. Cirugía Española Engl. Ed. 2015;93:403–410. doi: 10.1016/j.cireng.2015.01.004. - DOI - PubMed
LinkOut - more resources
Full Text Sources