Post-transplant liver biopsies: a concise and practical approach for beginners
- PMID: 39815741
- PMCID: PMC11736277
- DOI: 10.4132/jptm.2024.11.15
Post-transplant liver biopsies: a concise and practical approach for beginners
Abstract
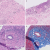
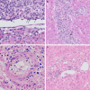
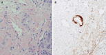
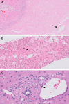
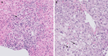
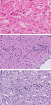
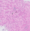
Exposure to post-transplant liver biopsies varies among pathology residencies and largely depends on the institution's training program, particularly if the hospital has a liver transplant program. The interpretation of biopsies from transplanted livers presents its own set of challenges, even for those with a solid understanding of non-transplant medical liver biopsies. In this review, we aim to provide a succinct, step-by-step approach to help you interpret liver transplant biopsies. This article may be beneficial for residents interested in liver pathology, gastrointestinal and liver pathology fellows in the early stages of training, clinical gastroenterology and hepatology fellows, hepatologists and general pathologists who are curious about this niche.
Keywords: Graft rejection; Hepatitis, viral, human; Liver transplantation.
Conflict of interest statement
The authors declare that they have no potential conflicts of interest.
Figures









References
Publication types
LinkOut - more resources
Full Text Sources