Unusual manifestations of syphilis in HIV
- PMID: 39886235
- PMCID: PMC11776895
- DOI: 10.4103/ijstd.ijstd_5_24
Unusual manifestations of syphilis in HIV
Abstract
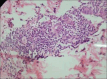
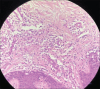
Over the past decade, there has been a significant increase in cases with syphilis and HIV coinfection. Concordant infection with HIV can alter the clinical course and response to treatment in syphilis. Variable and unusual presentations of syphilis in HIV disease can make early diagnosis and treatment challenging. We, herein, report four cases of atypical manifestations of syphilis in patients with HIV coinfection.
Keywords: Coinfection; HIV infection; secondary syphilis.
Copyright: © 2024 Indian Journal of Sexually Transmitted Diseases and AIDS.
Conflict of interest statement
There are no conflicts of interest.
Figures









References
-
- Lynn WA, Lightman S. Syphilis and HIV: A dangerous combination. Lancet Infect Dis. 2004;4:456–66. - PubMed
-
- Kumar B, Gupta S. 2nd. New Delhi, India: Elsevier; 2011. Sexually Transmitted Infections.
-
- Chen M, Kumar B, Gupta S. Sexually Transmitted Infections (2nd edition) New Delhi, India: Elsevier; 2011. Infectious Syphilis.
-
- Allen A. Case of syphilis with unusual features. Arch Dermatol. 1993;129:1252.
Publication types
LinkOut - more resources
Full Text Sources
Miscellaneous