Skip to main page content
U.S. flag

An official website of the United States government

Dot gov

The .gov means it’s official.
Federal government websites often end in .gov or .mil. Before sharing sensitive information, make sure you’re on a federal government site.

Https

The site is secure.
The https:// ensures that you are connecting to the official website and that any information you provide is encrypted and transmitted securely.

Access keys NCBI Homepage MyNCBI Homepage Main Content Main Navigation
Review
. 2024 Oct-Dec;34(4):160-169.
doi: 10.4103/jcecho.jcecho_59_24. Epub 2024 Dec 19.

Pancreatitis-associated Myocarditis: Systematic Review and Meta-analysis of a Deadly Duo

Affiliations
Review

Pancreatitis-associated Myocarditis: Systematic Review and Meta-analysis of a Deadly Duo

Mattia Alberti et al. J Cardiovasc Echogr. 2024 Oct-Dec.

Abstract

Myocardial injury is a recognized complication of acute pancreatitis, whereas myocarditis has only been occasionally reported and has not been systematically evaluated. We systematically reviewed PubMed literature published up to January 2024 for studies including both "myocarditis" and "pancreatitis" as keywords. Relevant data regarding patient characteristics and outcomes were collected and analyzed. A total of 31 patients from 31 independent studies were included. The etiology of pancreatitis was viral in 52%, bacterial in 20%, toxic in 16%, autoimmune in 9%, and idiopathic in 3%. 23% of patients were immunocompromised. Median high sensitivity-cardiac troponin T was 342 (IQR 73-890) ng/L and N-terminus-pro-brain natriuretic peptide was 11053 (IQR 1397-26150) pg/mL. The average left ventricular ejection fraction was 33±13%. Fulminant myocarditis, presenting with cardiogenic shock and/or malignant ventricular arrhythmias occurred in 48% of patients, more frequently in men than in women (P=0.026). Severe myocarditis occurred in 42% of edematous and 60% of necrotizing pancreatitis (P=0.56). No association was found between the severity of myocarditis and plasma levels of amylase (P=0.98) and lipase (P=0.83). The relative frequency of severe myocarditis was 80% in pancreatitis due to Leptospirosis, and 40% in pancreatitis due to viral infections. The mortality rate was 22%: 13% died during hospitalization and 9% after. Myocarditis is a potentially lethal complication of pancreatitis and is more frequently associated with viral etiology in immunocompromised individuals. Based on such findings, cardiac troponin measurements and an electrocardiogram are advisable to exclude myocardial involvement in selected patients. Confirmatory diagnosis and prognostic assessments should be based on cardiac magnetic resonance imaging.

Keywords: Arrhythmias; cardiac magnetic resonance; myocarditis; pancreatitis; shock.

PubMed Disclaimer

Conflict of interest statement

There are no conflicts of interest.

Figures

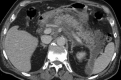
Figure 1
Figure 1
Abdominal CT showing acute non-lithiasic edematous pancreatitis. Note the diffuse enlargement of the pancreas, thickening of peripancreatic fat, and the presence of fluid collections, including a large peri-splenic one. No intra-glandular necrosis or hemorrhagic areas were appreciated
Figure 2
Figure 2
Twelve-lead ECG reveals sinus bradycardia and complete left bundle branch block (LBBB), accompanied by repolarization abnormalities attributable to the underlying conduction disturbance
Figure 3
Figure 3
T2W sequence showing lateral wall transmural hyperintensity, consistent with acute edematous myocarditis; T1-GRE-IR sequence acquired 8-10 minutes after 0,5 molar gadolinium-based contrast media administration (dose of 0.2mmol/Kg) showing sub-epicardial LGE in the lateral wall
Figure 4
Figure 4
Three-month follow-up CMR showing persistent sub-epicardial LGE in the lateral wall, consistent with fibrosis from previous myocarditis
Flowchart 1
Flowchart 1
Studies selection process

References

    1. Singh VK, Wu BU, Bollen TL, Repas K, Maurer R, Mortele KJ, et al. Early systemic inflammatory response syndrome is associated with severe acute pancreatitis. Clin Gastroenterol Hepatol. 2009;7:1247–51. - PubMed
    1. Glaubitz J, Asgarbeik S, Lange R, Mazloum H, Elsheikh H, Weiss FU, et al. Immune response mechanisms in acute and chronic pancreatitis: Strategies for therapeutic intervention. Front Immunol. 2023;14:1279539. - PMC - PubMed
    1. Cappell MS. Acute pancreatitis: Etiology, clinical presentation, diagnosis, and therapy. Med Clin North Am. 2008;92:889–923. ix-x. - PubMed
    1. Beger HG, Rau B, Mayer J, Pralle U. Natural course of acute pancreatitis. World J Surg. 1997;21:130–5. - PubMed
    1. Banks PA, Bollen TL, Dervenis C, Gooszen HG, Johnson CD, Sarr MG, et al. Classification of acute pancreatitis – 2012: Revision of the Atlanta classification and definitions by international consensus. Gut. 2013;62:102–11. - PubMed

LinkOut - more resources