Skip to main page content
U.S. flag

An official website of the United States government

Dot gov

The .gov means it’s official.
Federal government websites often end in .gov or .mil. Before sharing sensitive information, make sure you’re on a federal government site.

Https

The site is secure.
The https:// ensures that you are connecting to the official website and that any information you provide is encrypted and transmitted securely.

Access keys NCBI Homepage MyNCBI Homepage Main Content Main Navigation
. 2022 Sep 7;15(9):e249385.
doi: 10.1136/bcr-2022-249385.

Rare case of pancreatitis treated by minimally invasive parathyroidectomy

Affiliations

Rare case of pancreatitis treated by minimally invasive parathyroidectomy

Jalda Qasimy et al. BMJ Case Rep. .

Abstract

Hypercalcaemia-induced pancreatitis is a rare and often overlooked phenomena. Despite hyperparathyroidism being a common cause of hypercalcaemia, the association between pancreatitis and hyperparathyroidism remains controversial and is often overlooked. Patients may however suffer serious complications when diagnosis and treatment of hyperparathyroidism are delayed due to insufficient awareness. We present a man in his 40s who was admitted with progressive epigastric pain due to pancreatitis. Blood tests showed elevated serum calcium levels, which led to extensive investigation. Further workups led to the diagnosis of primary hyperparathyroidism due to three parathyroid adenomas. The patient underwent minimally invasive parathyroidectomy, which was followed by an uncomplicated recovery and normal serum calcium levels.

Keywords: Calcium and bone; Head and neck surgery; Thyroid disease.

PubMed Disclaimer

Conflict of interest statement

Competing interests: None declared.

Figures

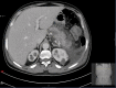
Figure 1
Figure 1
CT of the abdomen showing an acute pancreatitis with diffuse parenchymal enlargement, indistinct pancreatic margins and focal necrosis.
Figure 2
Figure 2
Scintigraphy showing two possible parathyroid adenomas.
Figure 3
Figure 3
PET-CT choline showing two choline-avid lesions on the lower part of both the left and right thyroid lobe. Fitting the typical localisations of parathyroid adenomas.
Figure 4
Figure 4
Intraoperative image of excised parathyroid adenoma.

References

    1. Fraser WD. Hyperparathyroidism. Lancet 2009;374:145–58. 10.1016/S0140-6736(09)60507-9 - DOI - PubMed
    1. Melmed S, Reed Larsen P, Polonsky KS. Williams textbook of endocrinology. 13th edition. Philadelphia: Elsevier, 2015.
    1. Molina PE. Endocrine physiology. 4th edition. McGraw Hill: McGraw-Hill Publishing Company, 2013.
    1. Frossard J-L, Steer ML, Pastor CM. Acute pancreatitis. Lancet 2008;371:143–52. 10.1016/S0140-6736(08)60107-5 - DOI - PubMed
    1. Minisola S, Pepe J, Piemonte S, et al. . The diagnosis and management of hypercalcaemia. BMJ 2015;350:h2723. 10.1136/bmj.h2723 - DOI - PubMed

LinkOut - more resources