Retinitis linked to human herpesvirus type 6: a case study in a splenectomised patient
- PMID: 39928207
- PMCID: PMC11811316
- DOI: 10.1186/s12348-025-00460-2
Retinitis linked to human herpesvirus type 6: a case study in a splenectomised patient
Abstract
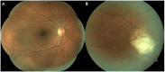
Human herpesvirus-6 (HHV-6) is a member of the HHV family and is a rare cause of infectious uveitis. We report a case of a splenectomised patient, hospitalised due to invasive pneumococcal disease, who was diagnosed with retinitis in the right eye, with good visual acuity (0.1 LogMAR). Given the presence of HHV-6 Polymerase chain reaction (PCR) in the cerebrospinal fluid and the serum and the coexistence of a severe central nervous system infection, the ophthalmological features were attributed to the HHV-6 infection. He was treated with topical corticosteroid eyedrops, cyclopentolate, and prednisolone acetate ointment and systemically with intravenous ganciclovir 5 mg/kg bid for 14 days and then oral valganciclovir 900 mg bid for 4 weeks. The diagnosis was promptly presumed, enabling the early initiation of appropriate treatment and contributing to the preservation of the good visual acuity initially observed.
© 2025. The Author(s).
Conflict of interest statement
Declarations. Ethics approval and consent to participate: The research adhered to the tenets of the Declaration of Helsinki. Consent for publication: Informed written consent was obtained from the patient before the publication. Competing interests: The authors declare no competing interests.
Figures




References
-
- Harris E, Epstein HF, Zaki Salahuddin S, Ablashi D, v, Markhiam PD, Josephs SF et al (1984) A modification of the procedure of H isolation of a New Virus, HBLV, in patients with Lymphoproliferative disorders [Internet]. 225, Biochem BSophys Res Commun. Available from: www.sciencemag.org
-
- Khare MD (2001) Human herpesvirus 6: its impact and influence on infectious diseases and their management, vol 2. Expert Opinion on Pharmacotherapy, pp 213–221 - PubMed
-
- Duncan A, Clark M, Ait-Khaled AC, Wheeler et al (1996) Quantification of human herpesvirus 6 in immunocompetent persons and post-mortem tissues from AIDS patients by PCR. J Gen Virol - PubMed
LinkOut - more resources
Full Text Sources