BrainPath Tubular Retractor System for Subcortical Hemorrhagic Vascular Lesions: A Case Series of Technique and Outcomes
- PMID: 39959541
- PMCID: PMC11810000
- DOI: 10.1227/neuprac.0000000000000114
BrainPath Tubular Retractor System for Subcortical Hemorrhagic Vascular Lesions: A Case Series of Technique and Outcomes
Abstract
Background and objectives: Hemorrhagic subcortical vascular lesions such as cavernous malformations (CM) and arteriovenous malformations (AVM) can be neurologically devastating. Conventional open surgical resection is often associated with additional morbidity. The BrainPath® (NICO Corp.) transsulcal tubular retractor system offers a less-invasive corridor to deep-seated lesions. Our objective was to describe a single-center experience with the resection of subcortical hemorrhagic vascular lesions in adult and pediatric patients using the BrainPath® system.
Methods: The departmental database was queried for patients who underwent resection of a hemorrhagic CM, AVM, or cerebral aneurysm through the BrainPath® tubular retractor system between January 2017 and September 2021. All patients underwent either postoperative MRI (for patients with CM) or digital subtraction angiography (for patients with AVM or aneurysm). Demographic and clinical characteristics, preoperative and postoperative imaging features, operative details, and surgical and clinical outcomes were extracted through a retrospective review of the medical records.
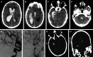
Results: Fourteen patients (mean [SD] age 32.3 [23.9] years; 7 (50%) female) underwent BrainPath®-based resection of a deeply seated CM (n = 7), AVM (n = 6), or ruptured cerebral aneurysm (n = 1). The mean maximal lesion diameter was 21.5 (12.6) mm. The mean operative time was 134 (53) minutes. Residual lesion was present in 2 patients, both of which underwent repeat BrainPath®-assisted surgery for complete resection. All lesions were completely resected or obliterated on postoperative MRI or digital subtraction angiography. At a mean follow-up of 4.1 (1.1) years, the median modified Rankin Scale score was 1 (range 0-6).
Conclusion: In a well-selected cohort, we show the effective use of BrainPath® tubular retractors for resection or obliteration of subcortical hemorrhagic vascular lesions. This report further exemplifies the expanded role of the endoport system beyond that of intracerebral hemorrhage and tumor. Further study will elucidate the impact of this less-invasive brain retraction technique on clinical outcome in patients with vascular lesions.
Keywords: Arteriovenous malformation; BrainPath; Case series; MIPS; Subcortical cavernous malformation.
© The Author(s) 2024. Published by Wolters Kluwer Health, Inc. on behalf of Congress of Neurological Surgeons.
Conflict of interest statement
The authors have no personal, financial, or institutional interest in any of the drugs, materials, or devices described in this article.
Figures




References
-
- Nico Brainpath. NICO BrainPath Product Information. NICO Inc; 2023. https://niconeuro.com/wp-content/uploads/2020/06/3_LIT208RevH_BrainPath-.... Accessed October 10, 2023.
-
- Mansour S, Echeverry N, Shapiro S, Snelling B. The use of Brainpath tubular retractors in the management of deep brain lesions: a review of current studies. World Neurosurg. 2020;134:155-163. - PubMed
LinkOut - more resources
Full Text Sources