Skip to main page content
U.S. flag

An official website of the United States government

Dot gov

The .gov means it’s official.
Federal government websites often end in .gov or .mil. Before sharing sensitive information, make sure you’re on a federal government site.

Https

The site is secure.
The https:// ensures that you are connecting to the official website and that any information you provide is encrypted and transmitted securely.

Access keys NCBI Homepage MyNCBI Homepage Main Content Main Navigation
Case Reports
. 2024;32(2):130-134.
doi: 10.5455/aim.2024.32.130-134.

Cardiac Arrest Caused by Amniotic Fluid Embolism: a Report of Two Clinical Cases

Affiliations
Case Reports

Cardiac Arrest Caused by Amniotic Fluid Embolism: a Report of Two Clinical Cases

Dung The Bui et al. Acta Inform Med. 2024.

Abstract

Background: Amniotic fluid embolism (AFE) is a rare and catastrophic obstetric complication that can lead to sudden cardiac arrest, respiratory distress, and disseminated intravascular coagulation. Recognizing and managing this condition promptly is crucial for improving maternal and neonatal outcomes.

Objective: This report includes two case studies describing the timely detection, prompt delivery of medical treatment, and the interdisciplinary approach essential for achieving better outcomes for mothers and children confronting with this catastrophic condition.

Case presentation: Case 1: A 39-year-old pregnant woman at 36 weeks and 5 days of gestation with central placenta previa was admitted due to antepartum hemorrhage. She developed convulsions and cardiac arrest during a cesarean section, requiring cardiopulmonary resuscitation. Laboratory tests revealed severe anemia, thrombocytopenia, coagulopathy, severe acidosis, and myocardial injury. Bedside echocardiography and CT scan identified high-risk pulmonary embolisms. Intensive care included VA-ECMO, CRRT, transcatheter arterial embolization, and mechanical thrombectomy. Histopathology confirmed amniotic fluid components making up the emboli. Case 2: A 31-year-old female was transferred following a cesarean section for central placenta previa complicated by severe hemorrhage, cardiac arrest, and pulmonary embolism. Laboratory results showed severe anemia, thrombocytopenia, significant coagulopathy, myocardial injury, and hepatic injury. Histopathology confirmed amniotic components in the embolism. Management involved extensive blood transfusions, and pulmonary thromboendarterectomy. She was discharged in improved condition.

Conclusion: Early diagnosis and prompt intervention are crucial to optimizing outcomes for patients with amniotic fluid embolism, utilizing a comprehensive multidisciplinary approach.

Keywords: Amniotic fluid; Cardiac arrest; Embolism.

PubMed Disclaimer

Conflict of interest statement

The authors declared that they have no conflicts of interest in this work.

Figures

Figure 1.
Figure 1.. CT-scan findings of chest
Figure 2.
Figure 2.. Pre- and post-thrombectomy pulmonary angiography: a 5 French (5F) multipurpose catheter was advanced to the right and left pulmonary arteries, revealed Five days later, the patient’s hemodynamic status improved, allowing for the weaning from VA-ECMO and mechanical ventilation. Then, repeated echocardiography showed improved TAPSE, normalized pulmonary artery pressure, and restored right ventricular function. The patient was extubated and unfractionated heparin was converts to a direct oral anticoagulant (DOAC). A numerous large thrombi in both branches (Figure 2A and 2B); Pulmonary angiography post-thrombectomy showed restored pulmonary blood flow (Figure 2C).
Figure 3.
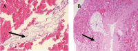
Figure 3.. The sample comprises keratin (Figure 3A, arrow), amorphous mucinous material, mature squamous cells, thrombus interspersed with polymorphonuclear leukocytes (Figure 3B, arrow).
Figure 4.
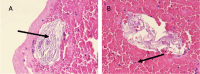
Figure 4.. Histopathology report. The sample consists of keratinized masses (Figure 4A, arrow) accompanied by thrombotic tissue (Figure 4B, arrow).

References

    1. Mittal T, Kumar V, Khullar R, Sharma A, Soni V, Baijal M, et al. Diagnosis and Management of Spigelia Hernia: A Review of Literature and Our Experience. Journal of Minimal Access Surgery. 2008;4(4):95. doi: 10.4103/0972-9941.45204. - DOI - PMC - PubMed
    1. Nassereddin A, Sajjad H. Anatomy, Abdomen and Pelvis: Linea Semilunaris [Internet] [22 April 2022];Ncbi.nlm.nih.gov. 2022 Available from: https://www.ncbi.nlm.nih.gov/books/NBK555983/ - PubMed
    1. Subramanya M, Chakraborty J, Memon B, Memon M. Emergency Intraperitoneal Onlay Mesh Repair of Incarcerated Spigelian Hernia. Journal of the Society of Laparoendoscopic Surgeons. 2010;14(2):275–278. doi: 10.4293/108680810X12785289144683. - DOI - PMC - PubMed
    1. Palanivelu C, Vijaykumar M, Jani K, Rajan P, Maheshkumaar G, Rajapandian S. Laparoscopic Transabdominal Preperitoneal Repair of Spigelian Hernia. Journal of the Society of Laparoscopic and Robotic Surgeons. 2006;10(2):193–198. - PMC - PubMed
    1. Moreno-Egea A, Flores B, Girela E, Martín J, Aguayo J, Canteras M. Spigelian Hernia: Bibliographical Study and Presentation of A Series of 28 Patients. Hernia. 2002;6(4):167–170. doi: 10.1007/s10029-002-0077-x. - DOI - PubMed

Publication types

LinkOut - more resources