Chronotherapeutic intervention targeting emotion regulation brain circuitry, symptoms, and suicide risk in adolescents and young adults with bipolar disorder: a pilot randomised trial
- PMID: 39971594
- PMCID: PMC11840897
- DOI: 10.1136/bmjment-2024-301338
Chronotherapeutic intervention targeting emotion regulation brain circuitry, symptoms, and suicide risk in adolescents and young adults with bipolar disorder: a pilot randomised trial
Abstract
Background: Mood episodes and high suicide risk of bipolar disorder (BD) are thought to derive from amygdala-ventral prefrontal cortex emotion regulation brain circuitry dysfunction and resulting emotion dysregulation, making these potential intervention targets.
Objective: To assess feasibility, acceptability, and preliminary efficacy in engaging the emotion regulation targets of two Brain Emotion Circuitry-targeted Self-Monitoring and Regulation Therapy (BE-SMART) variations in adolescents and young adults with BD (BDAYA): BE-SMART-ER, which directly targets emotion regulation, and BE-SMART-DR, a social rhythm therapy (SRT)-based chronotherapeutic intervention designed to reduce daily rhythm (DR) irregularities.
Methods: In a single-blind, parallel, pilot-randomised trial, 60 BDAYA (aged 16-29 years) were randomised to 12 weekly sessions (9 telehealth) of BE-SMART-DR or BE-SMART-ER. Nineteen BE-SMART-DR and 16 BE-SMART-ER participants completed the intervention, with 11 and 13, respectively, having pre-intervention and post-intervention functional MRI data.
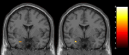
Findings: In addition to demonstrating feasibility, only BE-SMART-DR showed pre-treatment to post-treatment improvements in DR regularity (Cohen's d=0.55; 95% CI [0.06, 1.03]), associated with reductions in left amygdala responses to emotional face stimuli (p FWE (family-wise error)-SVC (small volume correction)<0.05), difficulties in emotion regulation (d=0.75; 95% CI [0.23, 1.25]) and suicide risk (d=0.65; 95% CI [0.15, 1.14]). Significant correlations were observed among these changes (p<0.05). Both interventions showed high acceptability and improvements in depression and mania symptoms. No intervention-related adverse events were observed.
Conclusions: Regularising DRs may enhance emotion regulation brain circuitry functioning, emotion regulation, and reduce suicide risk in BDAYA.
Clinical implications: Chronotherapeutic interventions regularising DRs, such as SRT, should be studied further as potential treatment strategies for BDAYA.
Trial registration number: NCT03183388.
Keywords: Child & adolescent psychiatry; Depression & mood disorders; PSYCHIATRY; Sleep; Suicide & self-harm.
© Author(s) (or their employer(s)) 2025. Re-use permitted under CC BY-NC. Published by BMJ Group.
Conflict of interest statement
Competing interests: HS has received royalties from UpToDate (Wolters Kluwer) and the American Psychiatric Association, an editorial stipend from the American Psychiatric Association, and honoraria from Medscape/WebMD, Clinical Education Alliance, and Mediflix. HPB has served as a consultant to the Milken Institute and has received a talk honorarium from Aetna. The remaining authors declare no competing financial interests.
Figures


References
Publication types
MeSH terms
Associated data
Grants and funding
LinkOut - more resources
Full Text Sources
Medical