Revolutionizing Severe Malaria Management: The Role of CytoSorb® Hemoadsorption in Treating Malaria-Induced Liver Dysfunction
- PMID: 39974222
- PMCID: PMC11836766
- DOI: 10.7759/cureus.77696
Revolutionizing Severe Malaria Management: The Role of CytoSorb® Hemoadsorption in Treating Malaria-Induced Liver Dysfunction
Abstract
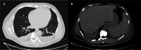
Malaria, caused by Plasmodium falciparum (PF), can lead to severe liver dysfunction and hyperbilirubinemia, worsening the prognosis. A 53-year-old male patient with malaria-related liver dysfunction and severe hyperbilirubinemia was treated with extracorporeal hemoadsorption (EHA) with the CytoSorb® filter (CytoSorbents, Monmouth Junction, NJ), marking a turning point in his treatment. This filter, by removing inflammatory mediators and bilirubin, significantly reduced bilirubin levels and improved the patient's clinical condition. This intervention facilitated a bridging therapy, improving symptoms and preventing organ damage during antimalarial treatment. CytoSorb® in EHA shows promise in treating malaria-induced liver dysfunction, suggesting the need for further research on its broader clinical application.
Keywords: case reports; cytosorb®; hemoadsorption; liver dysfunction; malaria.
Copyright © 2025, De Rosa et al.
Conflict of interest statement
Human subjects: Consent for treatment and open access publication was obtained or waived by all participants in this study. Conflicts of interest: In compliance with the ICMJE uniform disclosure form, all authors declare the following: Payment/services info: All authors have declared that no financial support was received from any organization for the submitted work. Financial relationships: All authors have declared that they have no financial relationships at present or within the previous three years with any organizations that might have an interest in the submitted work. Other relationships: All authors have declared that there are no other relationships or activities that could appear to have influenced the submitted work.
Figures




References
-
- Clinical management of imported malaria in Italy: results from a national cross-sectional survey in 2015. Lepore L, Vairo F, D'Abramo A, et al. https://www.newmicrobiologica.org/PUB/allegati_pdf/2020/1/28.pdf. New Microbiol. 2020;43:28–33. - PubMed
-
- Hepatitis in falciparum malaria. Murthy GL, Sahay RK, Sreenivas DV, Sundaram C, Shantaram V. https://pubmed.ncbi.nlm.nih.gov/10228440/ Trop Gastroenterol. 1998;19:152–154. - PubMed
-
- Use of hemoadsorption in a case of severe hepatic failure and hyperbilirubinemia. Faltlhauser A, Kullmann F. Blood Purif. 2017;44:98–99. - PubMed
Publication types
LinkOut - more resources
Full Text Sources