Mucoepidermoid carcinoma of the base of the tongue: a case report and review of the literature
- PMID: 39994777
- PMCID: PMC11849232
- DOI: 10.1186/s13256-025-05099-0
Mucoepidermoid carcinoma of the base of the tongue: a case report and review of the literature
Abstract
Background: Mucoepidermoid carcinoma originates from reserve cells present in ducts of salivary glands and is the most common malignancy of the salivary glands. It is commonly found in the parotid gland, followed by the palatal and buccal mucous membranes. However, mucoepidermoid carcinoma occurrence in other intraoral sites, including the tongue base, is extremely rare.
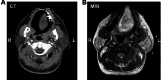
Case presentation: A 33-year-old Chinese man presented with a progressively enlarging mass at the base of his left tongue. Contrast-enhanced computed tomography and magnetic resonance imaging revealed an augmented soft tissue mass in the left jaw region with indistinct boundaries, enlargement of cervical lymph node of uncertain etiology, and no evidence of distant metastasis. A transoral needle biopsy from the mass pathologically revealed low-grade mucoepidermoid carcinoma. Complete transoral excision and cervical lymph node dissection were performed, followed by reconstruction with an anterolateral thigh free flap. Examination of the obtained surgical specimen confirmed low-grade mucoepidermoid carcinoma with MAML2 gene fusion in the base of the tongue. The tumor was removed with negative margins, and the cervical lymph nodes were free of disease. The patient had an uneventful recovery and showed no evidence of recurrence or metastasis at 40 months of follow-up.
Conclusion: We present a rare case of mucoepidermoid carcinoma at the base of the tongue. Furthermore, we review related literature and discuss its clinical features, histopathological characteristics, and treatment strategies.
Keywords: MAML2 rearrangement; Mucoepidermoid carcinoma; Reconstruction; The base of tongue.
© 2025. The Author(s).
Conflict of interest statement
Declarations. Ethics approval and consent to participate: Not applicable. Ethical review and approval were waived for this study because it was a single case report. The participant provided written informed consent to participate in the study. All procedures followed were in accordance with the ethical standards of the responsible committee on human experimentation (institutional and national) and with the Helsinki Declaration of 1975 as revised in 2008. Consent for publication: Written informed consent was obtained from the patient for publication of this case report and any accompanying images. A copy of the written consent is available for review by the Editor-in-Chief of this journal. Competing interests: The authors declare that they have no competing interests.
Figures
References
-
- Peraza A, et al. Mucoepidermoid carcinoma. An update and review of the literature. J Stomatol Oral Maxillofac Surg. 2020;121(6):713–20. - PubMed
-
- Luo X, Han H. Prognostic analysis and nomogram establishment in patients with mucoepidermoid carcinoma of the tongue: a population-based study using the SEER database. Eur Arch Otorhinolaryngol. 2022;279(3):1489–98. - PubMed
-
- World Health Organization Classification of Tumours Editorial Board, Blue-BooksOnline - WHO Classification of Tumours Online. https://tumourclassification.iarc.who.int/aboutus, 2021.
Publication types
MeSH terms
Substances
Grants and funding
LinkOut - more resources
Full Text Sources
