Retinocytoma: understanding pathogenesis, diagnosis, and treatment approaches
- PMID: 40001157
- PMCID: PMC11863914
- DOI: 10.1186/s40942-025-00642-z
Retinocytoma: understanding pathogenesis, diagnosis, and treatment approaches
Abstract
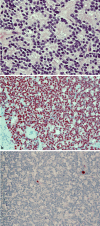
Retinocytoma, or retinoma, is a rare benign intraocular tumor primarily affecting the retina. It is often considered a precursor or a differentiated form of retinoblastoma, a malignant retinal tumor predominantly seen in children. Despite its non-aggressive nature and excellent prognosis, retinocytoma remains a significant area of interest due to its implications for genetic counseling, early detection, and management of ocular tumors. The pathogenesis of retinocytoma is closely linked to mutations in the RB1 gene, which plays a vital role in regulating the cell cycle. The detection of RB1 mutations in peripheral blood indicates germline disease, substantially elevating the risk of bilateral retinoblastoma development. Despite its benign nature, retinocytoma necessitates vigilant monitoring due to its potential to transform into retinoblastoma. Current treatment strategies primarily focus on observation and regular follow-up. However, more aggressive treatments are considered if malignant transformation is suspected. The prognosis is generally favorable, with most patients maintaining good visual acuity and a low risk of progression to retinoblastoma. We aim to present an up-to-date review on epidemiology, clinical features, pathogenesis, macroscopic and histopathological features, diagnostic criteria, prognosis, and management strategies.
Keywords: RB1 gene; Immunohistochemistry; Ocular tumors.; Photoreceptor cells; Retinocytoma; Retinoma.
© 2025. The Author(s).
Conflict of interest statement
Declarations. Ethics approval and consent to participate: Not applicable. This review article did not involve human participants or animal subjects requiring ethical approval. Consent for publication: Not applicable. This review article does not include any individual person’s data. Competing interests: The authors declare no competing interests. Clinical trial number: Not applicable.
Figures




References
-
- Archer TC, Sengupta S, Pomeroy SL. Chapter 50 - brain cancer genomics and epigenomics. In: Geschwind DH, Paulson HL, Klein C, editors. Handbook of clinical neurology. Volume 148. Elsevier; 2018. pp. 785–97. - PubMed
-
- Singh AD, Balmer A, Munier F. CHAPTER 80 - retinocytoma or retinoma. In: Singh AD, Damato BE, Pe’er J, Murphree AL, Perry J, editors. Clinical Ophthalmic Oncology. Edinburgh: W.B. Saunders; 2007. pp. 487–90.
-
- Margo C, Hidayat A, Kopelman J, Zimmerman LE. Retinocytoma: a Benign variant of Retinoblastoma. Arch Ophthalmol. 1983;101(10):1519–31. - PubMed
Publication types
LinkOut - more resources
Full Text Sources
Miscellaneous