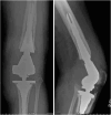
Distal Femoral Replacement With a Metaphyseal Sleeve: Outcomes and Risk Factors for Subsidence
- PMID: 40012617
- PMCID: PMC11864162
- DOI: 10.1016/j.artd.2024.101403
Distal Femoral Replacement With a Metaphyseal Sleeve: Outcomes and Risk Factors for Subsidence
Abstract
In this study, we report on the outcomes of our experience using a metaphyseal sleeve with a distal femoral replacement (DFR) and review the risk factors for sleeve subsidence over a 3 year period.
Keywords: Distal femur replacement; Limb preservation system; Metaphyseal sleeve; Outcome.
© 2024 The Authors.
Figures






References
-
- Depuy Synthes LPS Limb preservation system surgical technique. http://synthes.vo.llnwd.net/o16/LLNWMB8?US%20Mobile/Synthes%20Materials/...
Publication types
LinkOut - more resources
Full Text Sources