Aseptic Abscess Syndrome: A Case Report of a Rare Extraintestinal Manifestation of Inflammatory Bowel Disease
- PMID: 40017495
- PMCID: PMC11867638
- DOI: 10.1159/000543761
Aseptic Abscess Syndrome: A Case Report of a Rare Extraintestinal Manifestation of Inflammatory Bowel Disease
Abstract
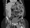
Introduction: Aseptic hepatic abscesses are a highly uncommon phenomenon and even more rare in the spectrum of extraintestinal manifestations of inflammatory bowel disease. Part of the spectrum of "neutrophilic disease," both the pathogenesis and the optimal management of these aseptic abscesses remain unclear. In the context of inflammatory bowel disease, sometimes these abscesses appear despite normal endoscopic findings.
Case presentation: We describe a highly uncommon case of aseptic hepatic abscess formation in a patient with inflammatory bowel disease.
Conclusion: In doing so, we investigated the concept of "aseptic abscess syndrome" as it relates to similar autoimmune conditions.
Keywords: Aseptic hepatic abscess; Crohn’s disease; Hepatic abscess; Inflammatory bowel disease.
© 2025 The Author(s). Published by S. Karger AG, Basel.
Conflict of interest statement
The authors have no conflicts of interest to declare.
Figures
References
-
- James Shah N, K Gupta N, B Borg B. A review of liver disorders in Inflammatory Bowel Disease (IBD). Clin Case Rep Rev. 2017;3(7):1–11.
-
- Margalit M, Elinav H, Ilan Y, Shalit M. Liver abscess in inflammatory bowel disease: report of two cases and review of the literature. J Gastroenterol Hepatol. 2004;19(12):1338–42. - PubMed
-
- Mir-Madjlessi SH, McHenry MC, Farmer RG. Liver abscess in Crohn's disease. Gastroenterology. 1986;91(4):987–93. - PubMed
LinkOut - more resources
Full Text Sources
