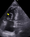
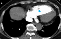
Woman With Dyspnea
- PMID: 40070525
- PMCID: PMC11893297
- DOI: 10.1016/j.acepjo.2025.100068
Woman With Dyspnea
Keywords: POCUS; pulmonary embolism; thrombus in transit.
Conflict of interest statement
All authors have affirmed they have no conflicts of interest to declare.
Figures


References
-
- Puello F., Harewood J., Lee C., Rupani N., Abe O. Thrombus in transit : The emergence of a deadly diagnosis. Chest. 2017;152(4) doi: 10.1016/j.chest.2017.08.1054. - DOI
Publication types
LinkOut - more resources
Full Text Sources