A Novel Pathogenic Variant of DICER1 Gene in a Young Greek Patient with 2 Different Sex-Cord Ovarian Tumors and Multinodular Goiter
- PMID: 40076617
- PMCID: PMC11900300
- DOI: 10.3390/ijms26051990
A Novel Pathogenic Variant of DICER1 Gene in a Young Greek Patient with 2 Different Sex-Cord Ovarian Tumors and Multinodular Goiter
Abstract
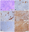
DICER1 syndrome (DICERs) represents a tumor predisposition genetic syndrome, inherited in an autosomal dominant manner. Germline loss-of-function variants of the DICER1 gene lead to impaired processing of microRNA, gene expression, and increased risk of tumorigenesis. Although pleuropulmonary blastoma (PPB) is the hallmark of the syndrome, multiple extrapulmonary malignant and non-malignant conditions have also been described, including multinodular goiter (MNG) and sex-cord stromal tumors. MNG is one of the most common components and is associated with an increased risk of thyroid carcinoma. Sertoli-Leydig cell tumor (SLCT) represents the most prevalent type of sex-cord stromal tumor associated with the syndrome, whereas juvenile granulosa cell tumor (JGCT) is considered to be a very rare phenotype. They both may present with abdominal pain due to mass effect and menstrual irregularities in case of hormone production. Although they exhibit low rates of mortality, recurrence rates highly depend on the grade of malignancy. Herein, we report a novel pathogenic DICER1 variant associated with MNG, bilateral ovarian SLCT, and JGCT in a young Greek patient. Clinicians should be aware of a potential germline DICER1 variant when evaluating MNG in young patients, especially if it coexists with other neoplasms.
Keywords: DICER1 gene; DICER1 syndrome; Sertoli–Leydig cell tumor; hyperandrogenemia; juvenile granulosa cell tumor; multinodular goiter; novel DICER1 variant.
Conflict of interest statement
The authors declare no conflicts of interest.
Figures
References
-
- Schultz K.A.P., Harris A., Messinger Y., Sencer S., Baldinger S., Dehner L.P., Hill D.A. Ovarian Tumors Related to Intronic Mutations in DICER1: A Report from the International Ovarian and Testicular Stromal Tumor Registry. Fam. Cancer. 2016;15:105–110. doi: 10.1007/s10689-015-9831-y. - DOI - PMC - PubMed
Publication types
MeSH terms
Substances
LinkOut - more resources
Full Text Sources
Medical
