Internal Hernia Through a Mesoappendix Defect: A Case Report and Review of the Literature
- PMID: 40125223
- PMCID: PMC11929958
- DOI: 10.7759/cureus.79396
Internal Hernia Through a Mesoappendix Defect: A Case Report and Review of the Literature
Abstract
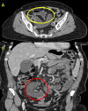
Internal hernias are an uncommon cause of small bowel obstruction (SBO). If not identified and treated promptly, they can lead to severe complications. Among these, herniation through a mesoappendix defect is exceedingly rare. To our knowledge, SBO due to a mesoappendiceal defect has only been described in a limited number of cases. In this case, a 76-year-old woman presented to the emergency department with a two-day history of acute lower abdominal pain, accompanied by nausea, vomiting, and abdominal distension. Diagnostic imaging revealed a partial small bowel obstruction with two transition points. During diagnostic laparoscopy, a loop of proximal ileum was found herniating through a mesoappendix defect, resulting in a closed-loop obstruction. The herniated bowel was viable and was successfully reduced, followed by an appendicectomy. The postoperative recovery was uneventful. This case highlights the need to consider internal hernias in the differential diagnosis of SBO, even in patients with prior abdominal surgeries.
Keywords: closed loop obstruction; internal hernia; laparoscopy; mesoappendix; small bowel obstruction.
Copyright © 2025, Harvitkar et al.
Conflict of interest statement
Human subjects: Consent for treatment and open access publication was obtained or waived by all participants in this study. Conflicts of interest: In compliance with the ICMJE uniform disclosure form, all authors declare the following: Payment/services info: All authors have declared that no financial support was received from any organization for the submitted work. Financial relationships: All authors have declared that they have no financial relationships at present or within the previous three years with any organizations that might have an interest in the submitted work. Other relationships: All authors have declared that there are no other relationships or activities that could appear to have influenced the submitted work.
Figures


References
-
- Laparoscopic repair of internal hernias: a case series with review of literature. Harvitkar RU, Joshi A. Indian J Surg. 2021;83:1534–1539.
-
- Internal hernia: an increasingly common cause of small bowel obstruction. Blachar A, Federle MP. Semin Ultrasound CT MR. 2002;23:174–183. - PubMed
-
- Internal herniation of Meckel’s diverticulum through mesoappendix in infant: an extremely rare occurrence. Barman S, Hadiuzzaman Md, Ray S, Sarkar R. Chrismed J Health Res. 2016;3:89–91.
Publication types
LinkOut - more resources
Full Text Sources