Skip to main page content
U.S. flag

An official website of the United States government

Dot gov

The .gov means it’s official.
Federal government websites often end in .gov or .mil. Before sharing sensitive information, make sure you’re on a federal government site.

Https

The site is secure.
The https:// ensures that you are connecting to the official website and that any information you provide is encrypted and transmitted securely.

Access keys NCBI Homepage MyNCBI Homepage Main Content Main Navigation
Case Reports
. 2025 Feb 24;17(2):e79544.
doi: 10.7759/cureus.79544. eCollection 2025 Feb.

Actinomyces israelii Brain Abscess With Advanced HIV Disease

Affiliations
Case Reports

Actinomyces israelii Brain Abscess With Advanced HIV Disease

Laura Leite-Almeida et al. Cureus. .

Abstract

We present the first reported case of a pediatric central nervous system (CNS) abscess caused by Actinomyces israelii in the context of advanced HIV disease. A three-year-old girl from São Tomé and Príncipe presented with progressive neurological deficits, including gait instability and language delay. Brain MRI revealed a right temporal lobulated lesion with surrounding edema and mass effect. Chronic superior sagittal sinus thrombosis and hydrocephalus were also identified. Neurosurgical intervention included ventriculocisternostomy and microsurgical resection of the lesion, which revealed a multiloculated abscess. Histology confirmed granuloma formation, and polymerase chain reaction (PCR) identified A. israelii. HIV serology was positive, with a CD4 count of 664 cells/μL and a viral load of 1,340,000 copies/mL. The patient received a year-long antibiotic regimen, starting with intravenous penicillin G followed by oral amoxicillin, and antiretroviral therapy was initiated. She showed marked improvement in neurological function and no signs of relapse after one year. This case underscores the importance of considering A. israelii in the differential diagnosis of CNS lesions in immunocompromised pediatric patients. It also highlights the critical role of neurosurgery, molecular diagnostics, and multidisciplinary management in ensuring favorable outcomes.

Keywords: actinomyces israelii; bacterial cns infection; brain abscess; combination antiretroviral therapy; pediatric hiv infection.

PubMed Disclaimer

Conflict of interest statement

Human subjects: Consent for treatment and open access publication was obtained or waived by all participants in this study. Conflicts of interest: In compliance with the ICMJE uniform disclosure form, all authors declare the following: Payment/services info: All authors have declared that no financial support was received from any organization for the submitted work. Financial relationships: All authors have declared that they have no financial relationships at present or within the previous three years with any organizations that might have an interest in the submitted work. Other relationships: All authors have declared that there are no other relationships or activities that could appear to have influenced the submitted work.

Figures

Figure 1
Figure 1. Axial T2-weighted MRI shows a large, well-defined hyperintense right temporal lesion with surrounding vasogenic edema and midline shift
Figure 2
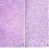
Figure 2. Histological examination disclosed a chronic and acute inflammatory process disclosing epithelioid granuloma with central necrosis (A: H&E, 100x) and foci of suppurative inflammation (B: H&E, 200x)
Figure 3
Figure 3. Axial T2-weighted post-surgical MRI

References

    1. Actinomyces and related organisms in human infections. Könönen E, Wade WG. Clin Microbiol Rev. 2015;28:419–442. - PMC - PubMed
    1. Actinomycosis: etiology, clinical features, diagnosis, treatment, and management. Valour F, Sénéchal A, Dupieux C, et al. Infect Drug Resist. 2014;7:183–197. - PMC - PubMed
    1. Imaging of actinomycosis in various organs: a comprehensive review. Heo SH, Shin SS, Kim JW, et al. Radiographics. 2014;34:19–33. - PubMed
    1. The epidemiology, clinical presentation and treatment outcomes in CNS actinomycosis: a systematic review of reported cases. Meena DS, Kumar D, Sharma M, et al. Orphanet J Rare Dis. 2023;18:133. - PMC - PubMed
    1. Revised surveillance case definitions for HIV infection among adults, adolescents, and children aged <18 months and for HIV infection and AIDS among children aged 18 months to <13 years--United States, 2008. Schneider E, Whitmore S, Glynn KM, Dominguez K, Mitsch A, McKenna MT. https://www.cdc.gov/mmwr/preview/mmwrhtml/rr5710a1.htm MMWR Recomm Rep. 2008;57:1–12. - PubMed

Publication types

LinkOut - more resources