Neonatal total gastrectomy as treatment for gastric rupture: Case report
- PMID: 40157066
- PMCID: PMC11994338
- DOI: 10.1016/j.ijscr.2025.111217
Neonatal total gastrectomy as treatment for gastric rupture: Case report
Abstract
Introduction: Neonatal gastric perforation is an uncommon but life-threatening condition, rarely requiring gastrectomy. We report the case of a neonate requiring total gastrectomy secondary to suspected barotrauma leading to gastric perforation.
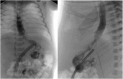
Case presentation: A 2-day-old term male was referred to our institution in extremis following attempted resuscitation with makeshift positive airway pressure ventilation in the setting of respiratory distress. Exam was notable for a distended, peritonitic abdomen, and abdominal radiograph showed massive pneumoperitoneum. Exploratory laparotomy revealed an extensive anterior gastric perforation extending from the pylorus to the esophagogastric junction, along with gross ischemia of the posterior gastric wall. The patient underwent gastrectomy with pouchless retrocolic Roux-en-Y esophagojejunostomy reconstruction. He was kept NPO (nil per os) on total parenteral nutrition for seven days. Esophagram on postoperative day 7 demonstrated patency of the esophagojejunal anastomosis without leaks, and he was transitioned to formula via nasojejunal tube feeds supplemented with vitamins and pancreatic enzymes. He was discharged home on postoperative day 45. At latest follow-up 2.9 years after surgery, his height and weight were in the 10th percentile for his age.
Clinical discussion: This report showcases the successful management of an extensive gastric perforation with gastrectomy and pouchless Roux-en-Y esophagojejunostomy. Multidisciplinary postoperative and outpatient care was essential to ensure a positive outcome.
Conclusion: Neonatal gastric perforation is a rare condition with high morbidity and mortality, particularly in those born prematurely or low birthweight. This patient suffered from an extensive gastric perforation secondary to suspected barotrauma, undergoing gastrectomy and esophagojejunostomy without a pouch, achieving adequate nutritional status for his age.
Keywords: Gastrectomy; Neonatal gastric perforation; Pouchless esophagojejunostomy.
Copyright © 2025 The Authors. Published by Elsevier Ltd.. All rights reserved.
Conflict of interest statement
Declaration of competing interest The authors declare that they have no competing economic interests or known personal relationships that could have influenced the work reported in this document.
Figures




References
Publication types
LinkOut - more resources
Full Text Sources
Research Materials