Evaluation of a Novel Suture-Button Technique for Open Reduction and Internal Fixation in Isolated Fractures of the Greater Tuberosity of the Humerus: A Retrospective Study
- PMID: 40166791
- PMCID: PMC11957049
- DOI: 10.7759/cureus.81514
Evaluation of a Novel Suture-Button Technique for Open Reduction and Internal Fixation in Isolated Fractures of the Greater Tuberosity of the Humerus: A Retrospective Study
Abstract
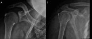
The purpose of the study is to present a novel technique for the open reduction and fixation of isolated displaced greater tuberosity (GT) fractures, utilizing a suture-button system, along with an evaluation of its efficacy. We conducted a retrospective study, including 18 patients with isolated tuberosity fractures displaced by more than 5 mm. All patients underwent surgical treatment using open reduction and internal fixation with a suture-button system (Zip Tight), reinforced with high-resistance sutures. The "Constant score," the "ASES (American Shoulder and Elbow Surgeons) score," and range of motion (ROM) were assessed postoperatively, with a minimum follow-up of 18 months. Postoperative X-rays were obtained in the anteroposterior (AP) view with the humerus in a neutral position, as well as in internal and external rotation and axial views. The "Constant score," the "ASES score," and ROM increased significantly, reaching their highest levels at the six-month follow-up and remaining stable up to the 12- and 18-month follow-ups. Postoperatively, the mean anterior flexion reached 145° (range: 100°-170°), and the mean abduction was 142° (range: 95°-170°). At 12 months, no patients exhibited significant problems with internal rotation, with the average reaching the T12 level (range: T7 to the posterior iliac crest). External rotation results were also very satisfactory, with a mean range of 75° (range: 60°-90°). Conclusively, this novel technique could provide a safe and effective surgical solution for the treatment of isolated GT fractures, with minimal complications and positive functional and radiological outcomes.
Keywords: greater tuberosity; humeral head fracture; rotator cuff; suture button; zip tight.
Copyright © 2025, Koukos et al.
Conflict of interest statement
Human subjects: Consent for treatment and open access publication was obtained or waived by all participants in this study. Animal subjects: All authors have confirmed that this study did not involve animal subjects or tissue. Conflicts of interest: In compliance with the ICMJE uniform disclosure form, all authors declare the following: Payment/services info: All authors have declared that no financial support was received from any organization for the submitted work. Financial relationships: All authors have declared that they have no financial relationships at present or within the previous three years with any organizations that might have an interest in the submitted work. Other relationships: All authors have declared that there are no other relationships or activities that could appear to have influenced the submitted work.
Figures




References
-
- Characteristics of an isolated greater tuberosity fracture of the humerus. Kim E, Shin HK, Kim CH. J Orthop Sci. 2005;10:441–444. - PubMed
-
- Two-part fractures of the proximal humerus. Chun JM, Groh GI, Rockwood Jr CA. J Shoulder Elbow Surg. 1994;3:273–287. - PubMed
-
- Isolated tuberosity fractures of the proximal humeral: current concepts. Gruson KI, Ruchelsman DE, Tejwani NC. Injury. 2008;39:284–298. - PubMed
-
- Management of a patient with an isolated greater tuberosity fracture and rotator cuff tear. Wilcox RB 3rd, Arslanian LE, Millett PJ. J Orthop Sports Phys Ther. 2005;35:521–530. - PubMed
-
- Two-part and three-part fractures: open reduction and internal fixation versus closed reduction and percutaneous pinning. Williams GR, Wong KL. Orthop Clin North Am. 2000;31:1–21. - PubMed
LinkOut - more resources
Full Text Sources
Miscellaneous