Antineutrophil Cytoplasmic Antibodies-Associated Glomerulonephritis in Diabetic Kidney Disease
- PMID: 40177446
- PMCID: PMC11963964
- DOI: 10.7759/cureus.79955
Antineutrophil Cytoplasmic Antibodies-Associated Glomerulonephritis in Diabetic Kidney Disease
Abstract
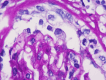
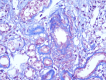
Diabetic kidney disease is a very prevalent complication in the context of type 2 diabetes. However, there is evidence showing a high variability in diagnosis when a kidney biopsy is performed. We present a case of a woman with a diagnosis of diabetic kidney disease, systemic arterial hypertension, obesity, and a high risk of progression of chronic kidney disease who presented with a sudden onset nephrotic syndrome and rapidly progressive deterioration of renal function. Kidney biopsy revealed pauci-immune extracapillary glomerulonephritis with acute thrombotic microangiopathy and class IIa diabetic nephropathy. Antineutrophil cytoplasmic antibodies (ANCA) and low complement were detected. The patient received treatment based on plasma exchanges, steroids with methylprednisolone and prednisone and intravenous cyclophosphamide with improvement of renal function. In conclusion, expansion of kidney biopsy criteria in patients with a diagnosis of type 2 diabetes is mandatory to provide adequate treatment and prognosis in the context of a high prevalence of alternative or concomitant disease.
Keywords: adult nephrotic syndrome; anca-associated vasculitis; diabetic nephropathies; image-guided biopsy; pauci-immune crescentic glomerulonephritis.
Copyright © 2025, Landeros et al.
Conflict of interest statement
Human subjects: Consent for treatment and open access publication was obtained or waived by all participants in this study. Comité de ética en investigación 10018, Hospital De Especialidades Num. 1, Bajío, León, Guanajuato issued approval R-2025-1001-005. This ethics committee has approved this scientific work for publication. Conflicts of interest: In compliance with the ICMJE uniform disclosure form, all authors declare the following: Payment/services info: All authors have declared that no financial support was received from any organization for the submitted work. Financial relationships: All authors have declared that they have no financial relationships at present or within the previous three years with any organizations that might have an interest in the submitted work. Other relationships: All authors have declared that there are no other relationships or activities that could appear to have influenced the submitted work.
Figures






References
-
- The epidemiology of diabetic kidney disease. Hoogeveen EK. Kidney Dial. 2022;2:433–442.
-
- Update on diabetic nephropathy: Core Curriculum 2018. Umanath K, Lewis JB. Am J Kidney Dis. 2018;71:884–895. - PubMed
-
- Renal biopsy in patients with diabetes: A pooled meta-analysis of 48 studies. Fiorentino M, Bolignano D, Tesar V, et al. Nephrol Dial Transplant. 2017;32:97–110. - PubMed
Publication types
LinkOut - more resources
Full Text Sources