Rare pediatric retinal diseases: A review
- PMID: 40272290
- PMCID: PMC12121860
- DOI: 10.4103/IJO.IJO_1542_24
Rare pediatric retinal diseases: A review
Abstract
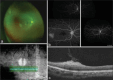
Rare pediatric retinal disorders present significant challenges in diagnosis and management due to their limited prevalence and diverse clinical manifestations. This paper provides a comprehensive review of select rare retinal disorders affecting the pediatric population, focussing a brief on their epidemiology, clinical characteristics, diagnostic modalities, and therapeutic interventions. Through a systematic examination of current literature and clinical case studies, this review aims to elucidate the distinct features and challenges associated with each disorder. Despite the rarity of these conditions, their impact on visual function and quality of life necessitates heightened awareness among clinicians and researchers to facilitate timely diagnosis, appropriate management, and improved outcomes for affected children as their visual systems are still developing. Furthermore, advancements in diagnostic modalities such as fundus fluorescein angiography, optical coherence tomography, electroretinography, and genetic testing are examined for their role in enhancing our understanding of rare pediatric retinal disorders and facilitating early intervention strategies. The literature selection for this article was conducted through PubMed, Google Scholar, and the Cochrane Library databases. A thorough systematic search was carried out for the concerned diseases. Relevant review articles, original research studies, case series, and reports were examined. Additionally, references from these sources were reviewed and included if they provided pertinent information on the topic. The search was not restricted by publication date.
Keywords: Coats disease; familial exudative vitreoretinopathy; incontinentia pigmenti; inherited diseases; pediatric retinal diseases; pediatric uveitis; persistent fetal vasculature; retinoschisis; shaken baby syndrome; sticklers; tumors.
Copyright © 2025 Indian Journal of Ophthalmology.
Conflict of interest statement
There are no conflicts of interest.
Figures














References
-
- Shields JA, Shields CL, Honavar SG, Demirci H, Cater J. Classification and management of Coats disease: The 2000 Proctor Lecture. Am J Ophthalmol. 2001;131:572–83. - PubMed
-
- Scruggs BA, Reding MQ, Schimmenti LA. NDP-Related Retinopathies. 1999 Jul 30 [updated 2023 Mar 23] In: Adam MP, Feldman J, Mirzaa GM, Pagon RA, Wallace SE, Amemiya A, editors. GeneReviews®. Seattle (WA): University of Washington, Seattle; 1993. 2024.
Publication types
MeSH terms
LinkOut - more resources
Full Text Sources
Medical